Osteochondromatosis: A Comprehensive Guide for Healthcare Providers

Clinical History

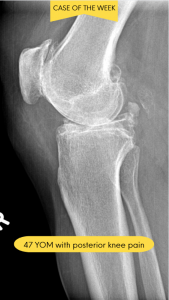
A 47-year-old male presents with chronic posterior knee pain that has progressively worsened over the past 18 months. The patient reports a dull, aching discomfort that intensifies with prolonged standing, stair climbing, and physical activity. He describes occasional episodes of sharp pain accompanied by a sensation of “catching” or “locking” in the knee joint. The patient notes morning stiffness lasting approximately 30 minutes and intermittent swelling around the posterior aspect of the knee. His medical history includes recreational basketball playing in his youth and a remote history of a knee sprain approximately 20 years ago. Conservative management with over-the-counter anti-inflammatory medications has provided minimal relief. Physical examination reveals moderate effusion, reduced range of motion, and crepitus with knee flexion and extension.

 
 
 
Osteochondromatosis: A Comprehensive Guide for Healthcare Providers
Fig. 1 Lateral view of the knee.
Fig. 2 Lateral view of the knee showing degenerative joint disease (DJD) and multiple osteochondral loose bodies in the posterior joint compartment.

Diagnosis: Osteochondromatosis Secondary to Degenerative Joint Disease

Based on advanced imaging studies and clinical correlation, the patient was diagnosed with osteochondromatosis secondary to degenerative joint disease (DJD). The radiology report revealed multiple intra-articular loose bodies within the posterior compartment of the knee joint, consistent with osteochondral fragmentation. Radiographic findings demonstrated moderate joint space narrowing, marginal osteophyte formation, and subchondral sclerosis, all characteristic features of underlying degenerative arthropathy. The presence of numerous calcified or ossified loose bodies confirmed the diagnosis of secondary osteochondromatosis resulting from progressive joint degeneration.

For practitioners seeking expertise in complex musculoskeletal imaging, consultation with specialists who hold credentials such as DACBR (Diplomate of the American Chiropractic Board of Radiology) can provide invaluable diagnostic clarity. These board-certified radiologists possess advanced training in interpreting subtle imaging findings that may be overlooked in standard evaluations.

 
 
 
 
 
 

Condition Overview

Osteochondromatosis, also referred to as synovial osteochondromatosis when originating from synovial tissue, represents a condition characterized by the presence of multiple loose bodies within a joint space. These intra-articular fragments may be cartilaginous, calcified, or fully ossified, depending on the stage and chronicity of the condition.

The condition exists in two distinct forms:

Primary Osteochondromatosis (Synovial Chondromatosis): This rare form involves metaplastic transformation of the synovial membrane, leading to the formation of cartilaginous nodules within the joint lining. These nodules may detach and become free-floating loose bodies. Primary osteochondromatosis typically affects young to middle-aged adults and has a slight male predominance.

Secondary Osteochondromatosis: This more common form develops as a consequence of pre-existing joint pathology, most frequently degenerative joint disease, trauma, osteonecrosis, or osteochondritis dissecans. In secondary osteochondromatosis, cartilage fragments and bony debris break away from damaged articular surfaces or osteophytes, creating multiple loose bodies within the joint space.

Primary vs. Secondary Osteochondromatosis Comparison

Feature

Primary Osteochondromatosis

Secondary Osteochondromatosis

Etiology

Synovial metaplasia (unknown cause)

Pre-existing joint disease (DJD, trauma, OCD)

Age of Onset

20-40 years

40+ years (typically older)

Gender

Slight male predominance

Equal distribution or slight male predominance

Synovial Changes

Proliferative, cartilage-forming

Reactive inflammation

Loose Body Characteristics

Uniform size, similar appearance

Variable sizes, irregular shapes

Radiographic Pattern

Multiple rounded, similar densities

Mixed appearance with degenerative changes

Associated Findings

Usually no pre-existing arthritis

Joint space narrowing, osteophytes, sclerosis

Treatment Approach

Loose body removal + synovectomy

Loose body removal (synovectomy not required)

Recurrence Risk

5-15% (if synovectomy incomplete)

Low (unless DJD progresses)

Malignant Potential

Rare (less than 5% to chondrosarcoma)

Essentially none

The knee joint is the most commonly affected site, accounting for approximately 60 to 70% of cases, followed by the hip, elbow, and shoulder. The presence of loose bodies can perpetuate a cycle of mechanical irritation, synovial inflammation, and progressive joint damage if left untreated.

When complex cases arise, obtaining a second opinion from specialized diagnostic imaging consultants can significantly impact treatment planning and patient outcomes. Modern healthcare increasingly recognizes the value of subspecialty expertise in musculoskeletal radiology for challenging diagnostic scenarios.

 

Joint Anatomy

Understanding osteochondromatosis requires familiarity with normal joint architecture. Synovial joints consist of several key components:

Joint Component

Function

Relevance to Osteochondromatosis

Articular Cartilage

Smooth, low-friction surface for joint movement

Source of loose bodies when damaged

Synovial Membrane

Produces synovial fluid for lubrication and nutrition

Site of metaplasia in primary form; becomes inflamed in response to loose bodies

Joint Capsule

Fibrous tissue surrounding the joint space

Contains loose bodies within joint

Synovial Fluid

Reduces friction and nourishes cartilage

Provides nutrition for loose body growth

Subchondral Bone

Bone layer beneath articular cartilage

Contributes bony fragments in secondary form

Pathophysiological Mechanisms

In Primary Osteochondromatosis:

The pathogenesis involves synovial metaplasia, where normal synovial cells undergo abnormal differentiation into cartilage-producing cells. This process, triggered by unknown factors possibly involving genetic mutations or growth factor dysregulation, leads to the formation of cartilaginous nodules within the synovial membrane. These nodules receive nutrients from synovial fluid and may undergo endochondral ossification, transforming into bony loose bodies. As nodules increase in size, they may detach from the synovial surface, becoming intra-articular loose bodies that move freely within the joint space.

In Secondary Osteochondromatosis:

This form results from mechanical breakdown of joint structures. In degenerative joint disease, repetitive microtrauma and biomechanical stress cause progressive deterioration of articular cartilage. As cartilage fragments detach, they combine with bone debris from exposed subchondral surfaces and fractured osteophytes to create loose bodies. The synovial membrane responds with inflammation and increased fluid production, creating an environment where loose bodies can grow through synovial fluid nourishment. This perpetuates a vicious cycle: loose bodies cause additional synovial irritation, leading to more inflammation and further cartilage degradation.

Joint Mechanics and Loose Body Behavior

Loose bodies typically migrate to areas of low pressure within the joint, often gravitating toward recesses and posterior compartments. In the knee, they frequently accumulate in the posterior capsule, suprapatellar pouch, or intercondylar notch. Their movement can cause sudden mechanical symptoms as they become transiently trapped between articular surfaces, explaining the characteristic “catching” or “locking” sensations patients experience.

The size and number of loose bodies vary considerably. They may range from tiny rice-grain-sized fragments to large masses several centimeters in diameter. A comprehensive radiology report will document the size, number, location, and degree of mineralization of these bodies, information crucial for treatment planning.

 
 

Osteochondromatosis presents with a variable clinical picture depending on the number, size, and location of loose bodies, as well as the severity of underlying joint pathology.

Common Symptoms

Symptom

Description

Clinical Significance

Pain

Chronic, aching joint pain that worsens with activity and weight-bearing; deep and poorly localized

Reflects synovial inflammation and mechanical irritation

Mechanical Symptoms

Intermittent catching, locking, or giving way of the joint

Hallmark feature; occurs when loose bodies wedge between articular surfaces

Swelling and Effusion

Visible joint swelling and palpable fluid accumulation

Results from chronic synovial irritation and increased fluid production

Reduced Range of Motion

Gradually diminishing joint mobility

Due to progressive degeneration and mechanical blockage

Crepitus

Grinding, clicking, or popping sensations with movement

Reflects both degenerative changes and intra-articular debris

Stiffness

Morning stiffness or stiffness after inactivity (30 minutes to several hours)

Common in inflammatory and degenerative joint conditions

Physical Examination Findings

Clinicians may observe visible joint swelling, palpable effusion (positive ballottement test in the knee), tenderness along joint lines, restricted range of motion, crepitus during passive motion, and occasional palpable loose bodies in superficial locations. In the knee, McMurray’s test or Apley’s compression test may elicit pain. Muscle atrophy of surrounding musculature may develop due to chronic pain and disuse.

Diagnostic Imaging

While clinical presentation raises suspicion, definitive diagnosis requires imaging confirmation. Radiographs reveal radio-opaque loose bodies with varying degrees of mineralization, along with degenerative changes such as joint space narrowing, osteophyte formation, and subchondral sclerosis. Advanced imaging with MRI or CT provides superior visualization of cartilaginous loose bodies not yet calcified, assessment of articular cartilage integrity, and evaluation of synovial proliferation.

For practitioners managing complex musculoskeletal cases, partnering with Diagnostic Imaging Consultants who specialize in chiropractic radiology ensures comprehensive evaluation and accurate interpretation of subtle imaging findings that may influence clinical decision-making.

 
 

Healthcare providers in chiropractic and physical therapy settings frequently encounter patients with osteochondromatosis, making recognition and appropriate management essential for optimal patient outcomes.

Diagnostic Recognition

Chiropractors and physical therapists serve as primary contact practitioners for many patients with musculoskeletal complaints. Recognizing the clinical patterns suggestive of osteochondromatosis (particularly mechanical symptoms, chronic effusion, and progressive functional decline) enables timely referral for appropriate imaging. When practitioners obtain DACBR consultation or request a second opinion on complex imaging findings, they demonstrate commitment to evidence-based practice and comprehensive patient care.

Treatment Considerations and Contraindications

Intervention

Safety Level

Recommendations

High-Velocity Manipulation

⚠️ Caution/Contraindicated

Avoid or use extreme caution; risk of dislodging loose bodies and causing acute blockage

Gentle Mobilization (Grades I-III)

✓ Generally Safe

Recommended to maintain ROM without excessive joint stress

Low-Impact Exercise

✓ Recommended

Swimming, cycling, elliptical training minimize joint loading

Strengthening Exercises

✓ Recommended

Progressive resistance for periarticular muscles provides dynamic stability

Range of Motion Exercises

✓ Recommended

Gentle stretching within pain-free ranges prevents contractures

Deep Tissue Work on Joint

⚠️ Caution

Avoid aggressive techniques directly over affected joint

Soft Tissue Techniques

✓ Generally Safe

Myofascial release, trigger point therapy for secondary muscle tension

Therapeutic Modalities

✓ Safe

Ultrasound, electrical stimulation, ice/heat for symptomatic relief

Key Exercise Principles:

Physical therapists play a crucial role in managing osteochondromatosis through carefully designed exercise programs. Progressive resistance training of periarticular muscles (quadriceps, hamstrings, hip abductors for knee involvement) provides dynamic joint stability and reduces abnormal mechanical stress. Balance and proprioceptive exercises enhance joint position sense and reduce injury risk.

Patient Education and Activity Modification

Practitioners should educate patients about activity modification to minimize symptom exacerbation. This includes avoiding deep squatting, kneeling, high-impact activities, and movements that provoke catching or locking. Patients benefit from understanding their condition’s chronic nature and the importance of maintaining healthy body weight to reduce joint loading.

Collaborative Care and Referral

Chiropractic radiology specialists and physical therapists should maintain collaborative relationships with orthopedic surgeons for seamless referral when conservative management proves insufficient. Clear communication through comprehensive documentation, including detailed radiology reports and functional assessments, facilitates optimal interdisciplinary care.

Providers without advanced radiology training should not hesitate to request consultations with DACBR-certified specialists or other Diagnostic Imaging Consultants when imaging findings are complex or ambiguous. This collaborative approach ensures patients receive accurate diagnoses and appropriate treatment recommendations.

 

Management of osteochondromatosis requires individualized treatment planning based on symptom severity, functional impairment, number and size of loose bodies, and degree of underlying joint degeneration.

Conservative Management

Indications: Mild to moderate symptoms, minimal functional limitation, small loose bodies, absence of mechanical locking, and patient preference for non-surgical approaches.

Conservative vs. Surgical Management Comparison

Aspect

Conservative Management

Surgical Management

Best Candidates

Mild symptoms, small loose bodies, no locking

Severe symptoms, large/numerous loose bodies, mechanical locking

Primary Goals

Symptom control, maintain function

Remove loose bodies, prevent further damage

Pain Relief

Moderate (NSAIDs, injections, PT)

Significant and sustained

Functional Improvement

Modest, maintenance focused

Substantial improvement in most cases

Recovery Time

Immediate participation

3 to 6 months to full activity

Recurrence Prevention

Does not address underlying pathology

Removes source of mechanical symptoms

Risks

Minimal (medication side effects)

Surgical risks, infection, stiffness

Cost

Lower initial cost, ongoing expenses

Higher upfront cost, potentially lower long-term cost

Success Rate

Variable, dependent on disease severity

80 to 90% good to excellent outcomes

Components of Conservative Management:

Pharmaceutical Management: Non-steroidal anti-inflammatory drugs (NSAIDs) reduce pain and inflammation. Intra-articular corticosteroid injections may provide temporary relief in cases with significant synovitis, though they do not address the loose bodies themselves.

Physical Therapy: As detailed previously, comprehensive rehabilitation programs focus on maintaining joint mobility, strengthening periarticular muscles, improving neuromuscular control, and modifying activities to reduce mechanical stress.

Assistive Devices: Bracing, taping, or orthotics may provide additional joint support and reduce aberrant movements that exacerbate symptoms.

Weight Management: For lower extremity joints, weight reduction significantly decreases joint loading and may slow degenerative progression.

Outcomes: Conservative management effectively controls symptoms in patients with mild osteochondromatosis but rarely addresses the underlying pathology. Patients require ongoing monitoring for symptom progression or development of mechanical complications.

Surgical Intervention

Indications: Severe or progressive pain unresponsive to conservative care, recurrent mechanical locking or catching significantly impairing function, large or numerous loose bodies, evidence of progressive joint damage, and documented functional decline affecting quality of life or occupational activities.

Arthroscopic Loose Body Removal:

This minimally invasive approach represents the gold standard for treating symptomatic osteochondromatosis. Surgeons use small incisions and specialized instruments with camera guidance to visualize the joint interior and remove loose bodies. Advantages include reduced surgical trauma, faster recovery, lower infection risk, and ability to assess and address associated pathology such as meniscal tears or cartilage defects.

The procedure involves systematic exploration of all joint compartments and recesses to identify loose bodies, careful extraction to prevent fragmentation, synovectomy (removal of diseased synovial tissue) in primary osteochondromatosis, and treatment of associated lesions. Studies report high success rates with significant pain reduction and functional improvement in appropriately selected patients.

Open Arthrotomy:

For extensive disease with very large loose bodies, limited arthroscopic access, or concurrent procedures requiring open approaches, traditional open surgery may be necessary. While requiring longer recovery, open techniques provide complete visualization and access to all joint regions.

Synovectomy:

In primary osteochondromatosis, removing the diseased synovial membrane (synovectomy) is crucial for preventing recurrence, as the abnormal synovium continues producing cartilaginous nodules. This may be performed arthroscopically or through open technique depending on the extent of synovial involvement.

Definitive Joint Procedures:

In advanced cases with severe degenerative changes and irreversible joint damage, definitive procedures including total joint arthroplasty (replacement) or arthrodesis (fusion) may ultimately be necessary. These are typically reserved for end-stage disease when loose body removal alone cannot restore adequate function.

Post-Surgical Rehabilitation

Following arthroscopic loose body removal, patients typically progress through structured rehabilitation phases:

Post-Surgical Rehabilitation Timeline

Phase

Timeframe

Focus Areas

Key Activities

Immediate Post-Op

0 to 2 weeks

Reduce swelling, protect surgical sites

Gentle ROM, ice, compression, elevation

Early Strengthening

2 to 6 weeks

Progressive resistance, increase weight-bearing

Isometric exercises, partial weight-bearing activities

Advanced Strengthening

6 to 12 weeks

Sport-specific training, functional movements

Plyometrics, agility drills, return-to-sport preparation

Return to Activity

3 to 6 months

Unrestricted activity resumption

Full participation based on functional testing

Physical therapists monitor for complications such as arthrofibrosis (excessive scar tissue formation), recurrent effusion, or inadequate strength recovery, adjusting rehabilitation protocols accordingly.

Prognosis

Prognosis depends significantly on the underlying cause and extent of joint damage. Secondary osteochondromatosis patients with mild to moderate underlying DJD who undergo loose body removal typically experience substantial symptom improvement, though the degenerative process continues. Primary osteochondromatosis has excellent outcomes following complete loose body removal and synovectomy, with recurrence rates of 5 to 15%. Long-term joint health requires ongoing attention to risk factor modification and maintenance of periarticular muscle strength.

 

Accurate diagnosis of osteochondromatosis requires differentiating it from other conditions presenting with similar clinical and radiographic features.

Differential Diagnosis Comparison Table

Condition

Key Clinical Features

Imaging Findings

Age Group

Distinguishing Factors

Osteochondromatosis

Chronic pain, mechanical locking, effusion

Multiple rounded loose bodies, +/- DJD changes

40+ (secondary), 20-40 (primary)

Multiple loose bodies, uniform or varied sizes

Osteochondritis Dissecans

Focal pain, occasional locking

Single or few focal lesions, specific locations

Adolescents to young adults

Solitary lesion, characteristic locations

DJD Without Loose Bodies

Chronic pain, stiffness

Joint space narrowing, osteophytes, sclerosis

50+

No loose bodies, less mechanical symptoms

PVNS

Swelling, pain, limited ROM

Hemosiderin “blooming,” erosive changes

20 to 40

No calcified loose bodies, erosive bone changes

CPPD (Pseudogout)

Acute inflammatory attacks

Linear/punctate cartilage calcification

60+

Chondrocalcinosis pattern, acute flares

Meniscal Tear

Catching, locking, joint line pain

Meniscal signal changes on MRI

Any age, often athletic

Specific mechanism, no loose bodies

Traumatic Fragments

Acute onset after trauma

Irregular, angular bone fragments

Any age

Recent trauma history, irregular fragments

Detailed Differential Diagnoses

Osteochondritis Dissecans (OCD)

OCD involves focal separation of articular cartilage and underlying subchondral bone, typically affecting young, active individuals. It usually presents as a solitary lesion rather than multiple loose bodies. Imaging reveals a well-defined fragment within or separated from the articular surface, often in characteristic locations (lateral aspect of the medial femoral condyle in the knee). Unlike osteochondromatosis, OCD typically lacks diffuse degenerative changes unless longstanding and untreated.

Synovial Chondromatosis vs. Chondrosarcoma

Primary synovial chondromatosis can occasionally undergo malignant transformation to synovial chondrosarcoma, though this is rare (less than 5% of cases). Concerning features suggesting malignant transformation include rapid symptom progression, soft tissue mass extending beyond joint capsule, irregular mineralization patterns, bone invasion on imaging, and recurrence after appropriate surgical treatment. Any suspicious findings warrant prompt orthopedic oncology consultation and consideration of biopsy. A detailed radiology report from experienced subspecialists helps identify these concerning features.

Degenerative Joint Disease Without Loose Bodies

Not all DJD cases develop osteochondromatosis. Patients with isolated degenerative changes without loose bodies typically lack the characteristic mechanical catching and locking symptoms. Imaging confirms degenerative features but absence of intra-articular loose bodies. These patients may benefit from conservative management without surgical intervention.

Pigmented Villonodular Synovitis (PVNS)

PVNS, a proliferative synovial disorder causing joint swelling and pain, can mimic osteochondromatosis clinically. However, PVNS typically demonstrates hemosiderin deposition creating characteristic “blooming artifact” on MRI gradient-echo sequences and erosive bone changes not seen in typical osteochondromatosis. PVNS rarely produces calcified loose bodies.

Calcium Pyrophosphate Deposition Disease (CPPD)

CPPD, commonly called pseudogout, causes acute inflammatory arthritis with calcification of cartilage (chondrocalcinosis). While both conditions show calcific densities on radiographs, CPPD typically demonstrates linear or punctate calcification within hyaline cartilage and fibrocartilage rather than discrete intra-articular loose bodies. Clinical presentation differs with acute inflammatory flares in CPPD versus chronic mechanical symptoms in osteochondromatosis.

Meniscal or Cruciate Ligament Tears

Patients with meniscal tears or ligament injuries report mechanical symptoms similar to osteochondromatosis, including catching, locking, and giving way. However, these soft tissue injuries typically have specific traumatic mechanisms and demonstrate characteristic findings on MRI without the presence of loose bodies. McMurray’s test and Lachman’s test help differentiate meniscal and ligament pathology respectively.

Fracture Fragments

Acute trauma can create intra-articular bone fragments mimicking osteochondromatosis. Clinical history of significant trauma, acute symptom onset, and imaging showing irregular, angular fracture fragments rather than smooth, rounded loose bodies help distinguish traumatic fragments from osteochondromatosis.

 

Given the complexity of diagnosing and managing osteochondromatosis, particularly in differentiating primary from secondary forms and identifying concerning features that might suggest malignant transformation or alternative diagnoses, access to specialized imaging interpretation proves invaluable.

Healthcare providers should consider seeking consultation with Diagnostic Imaging Consultants who maintain DACBR credentials or equivalent subspecialty training in musculoskeletal radiology when:

  • Initial imaging findings are ambiguous or inconsistent with clinical presentation

  • Differentiating between primary and secondary osteochondromatosis impacts treatment planning

  • Concerning features suggest possible malignant transformation

  • Complex cases involve multiple joints or systemic considerations

  • Patients request a second opinion before proceeding with surgical intervention

  • Medicolegal documentation requires comprehensive, detailed reporting

Advanced training in chiropractic radiology equips DACBR-certified specialists with expertise in identifying subtle imaging findings, recognizing atypical presentations, and providing clinically relevant recommendations that enhance patient outcomes. Their comprehensive radiology reports serve as essential communication tools between various healthcare providers involved in a patient’s care.

 

Osteochondromatosis, whether primary or secondary to degenerative joint disease, represents a significant cause of chronic joint pain and mechanical dysfunction. The condition’s impact on patient quality of life, occupational capacity, and recreational activities makes accurate diagnosis and appropriate management essential.

For the 47-year-old male patient presented in our clinical history, recognition of the pattern of chronic posterior knee pain, mechanical symptoms, and imaging findings consistent with osteochondromatosis secondary to DJD enabled development of a comprehensive treatment plan. Whether pursuing conservative management through chiropractic care and physical therapy or considering arthroscopic loose body removal, the patient benefits from accurate diagnosis and evidence-based treatment recommendations.

Healthcare providers across disciplines (including chiropractors, physical therapists, primary care physicians, and orthopedic surgeons) must work collaboratively to optimize outcomes for patients with osteochondromatosis. Specialized expertise from Diagnostic Imaging Consultants with DACBR credentials or equivalent advanced training in chiropractic radiology enhances diagnostic accuracy and treatment planning.

As musculoskeletal healthcare continues evolving toward subspecialization and evidence-based practice, obtaining a second opinion on complex cases represents not only good clinical practice but also demonstrates commitment to the highest standards of patient care. Patients with osteochondromatosis deserve comprehensive evaluation by providers who understand both the clinical nuances of this condition and the sophisticated imaging findings that guide optimal management decisions.

Through continued education, collaborative care models, and judicious use of specialized diagnostic expertise, healthcare providers can deliver exceptional outcomes for patients suffering from osteochondromatosis and other complex musculoskeletal disorders.

 
 

At Kinetic Radiology, our DACBR team provides detailed, timely imaging interpretations designed to help chiropractors and healthcare providers deliver confident, evidence-based care.

Every day, chiropractors face the same frustration: imaging reports that miss what matters. General radiologists weren’t trained in your world; they don’t understand subluxations, joint dysfunction, or the biomechanical findings that drive your treatment decisions.

The result? Delayed care. Uncertain patients. Cases that stall when they should be progressing.

The Kinetic Radiology Difference: Chiropractors Reading for Chiropractors

Our board-certified DACBRs aren’t just radiologists. We’re chiropractors who chose to specialize in musculoskeletal imaging. We speak your language because we’ve stood where you stand.

What This Means for Your Practice:

Reports You Can Act On Immediately – No vague findings. No irrelevant details. Just the specific insights that guide your next adjustment, your treatment plan, and your patient conversations.

Same-Day Turnaround – Your patients don’t want to wait days wondering what’s wrong. Neither should you. Get clarity fast so care never stalls.

Documentation That Protects Your Practice – Whether it’s insurance requirements, legal protection, or patient records, our reports give you the clinical backing you need.

Confidence That Builds Your Reputation – When patients see you consulting with specialized radiologists, they recognize your commitment to excellence. That trust turns into loyalty, referrals, and five-star reviews.

Is Your Current Imaging Reading Costing You Patients?

Think about the last complex case you handled. Did the radiology report actually help you—or did you have to fill in the gaps yourself?

Now imagine having a DACBR partner who catches the subtle findings, flags the red flags, and gives you confidence in every diagnosis.

Start With One Case—See the Difference Yourself

No commitment. No risk. Just submit your next challenging case and experience what specialized chiropractic radiology can do for your clinical confidence and patient outcomes.

Schedule Your Case Consultation

Questions? Call us at 321 325 0096 or email at support@kineticradiology.com

Frequently asked questions

Lorem ipsum dolor sit amet, consectetur adipiscing elit. Ut elit tellus, luctus nec ullamcorper mattis, pulvinar dapibus leo.

 
What is a bone infarction?

A bone infarction is localized death of bone marrow due to loss of blood supply, commonly seen in patients with sickle cell disease.

A bone infarction occurs when the blood supply to bone marrow is interrupted, leading to ischemic necrosis. In sickle cell disease, this results from sickled red blood cells obstructing small intramedullary vessels. These blockages cause repeated episodes of ischemia and reperfusion injury, which destroy marrow architecture and lead to chronic bone pain.

DACBRs and diagnostic imaging consultants often identify bone infarctions incidentally when interpreting MRIs or X-rays ordered for pain evaluation. Radiographically, chronic infarctions may appear as serpiginous, sclerotic lesions with central lucency. MRI is the modality of choice—it can detect early marrow changes before X-ray findings emerge. The “double line sign” on T2-weighted images is characteristic.

For chiropractors and PTs, understanding this process is key. Bone infarctions are not mechanical injuries, so aggressive manual therapy may aggravate symptoms. Instead, clinicians should integrate radiology report findings into treatment planning, ensuring interventions respect the bone’s healing phase. Collaboration with a DACBR (Doctor of Chiropractic, Board Certified Radiologist) helps confirm diagnosis and prevent mismanagement.

 

AVN affects subchondral bone near joint surfaces, while bone infarction involves the medullary cavity of long bones.

Though both involve ischemic bone death, avascular necrosis (AVN) and bone infarction differ by anatomic location and clinical impact. AVN affects subchondral bone adjacent to a joint, commonly in the femoral head, and can lead to joint collapse. Bone infarctions, by contrast, affect the marrow cavity and generally spare the articular surface.

From a diagnostic imaging perspective, this distinction is crucial. MRI interpreted by a DACBR can identify subchondral collapse or the crescent sign typical of AVN, versus serpiginous medullary signal patterns in infarction. Radiology reports often use descriptors such as “medullary infarction” or “osteonecrosis” to clarify this difference.

Clinically, chiropractors and PTs will note that AVN leads to stiffness, restricted range of motion, and mechanical pain—while infarction produces deeper, diffuse, non-mechanical pain. Understanding this difference guides care: joint-preserving rehab strategies for AVN versus supportive, non-load interventions for infarction.

Collaboration with diagnostic imaging consultants ensures accurate identification and safe progression of rehabilitation plans. Reviewing radiology reports with a DACBR’s insight can help clinicians identify subtle differences and avoid inappropriate care in ischemic bone.

Sickle-shaped red blood cells block bone microcirculation, leading to repeated ischemic injury and marrow necrosis.

In sickle cell disease, hemoglobin S distorts red blood cells into rigid, crescent shapes that can’t pass smoothly through capillaries. Within bone marrow’s sluggish microcirculation, these cells cluster and cause microvascular occlusion, depriving tissues of oxygen. Over time, this leads to bone infarctions, especially in weight-bearing long bones.

These recurrent ischemic episodes are a hallmark of sickle cell crises—periods of acute pain due to widespread microinfarction. As infarcted areas heal, they form dense sclerosis and irregular bone patterns visible on X-rays and MRI. Radiologists (and DACBRs) recognize these chronic findings as serpiginous medullary sclerosis.

For chiropractors and PTs, this mechanism explains why SCD-related pain may mimic musculoskeletal disorders but doesn’t respond predictably to joint manipulation or soft tissue work. Understanding radiology report terminology—like “medullary infarction” or “marrow signal alteration”—helps clinicians interpret these cases accurately and refer appropriately.

A multidisciplinary approach involving diagnostic imaging consultants, hematologists, and rehabilitation specialists provides the safest path forward for long-term mobility and pain control.

The femur, humerus, and tibia are most frequently affected by bone infarctions in sickle cell disease.

Bone infarctions in sickle cell disease most commonly occur in long tubular bones such as the femur, humerus, and tibia due to their high marrow volume and relatively poor collateral circulation. Flat bones like the pelvis or ribs may also be involved but less frequently.

Radiology reports often describe infarcts in the diaphyseal or metaphyseal regions, sparing the subchondral surfaces. On MRI, diagnostic imaging consultants may note serpiginous T1 and T2 signal changes in the marrow cavity—often bilateral and symmetric. Chronic lesions can calcify or cause cortical thinning, predisposing to fractures.

For chiropractors and physical therapists, recognizing these patterns is essential when treating lower extremity or shoulder pain. Pain localized to these bones may indicate ischemic pathology rather than joint dysfunction. Coordination with a DACBR ensures accurate correlation between imaging findings and clinical presentation, reducing the risk of inappropriate loading or manipulation on structurally compromised bone.

In weight-bearing regions like the femur, even minor stress can precipitate pain crises, so gradual weight-bearing progression is critical during rehabilitation.

 

They present with deep, throbbing bone pain, swelling, and limited motion, often unrelated to injury or activity.

Clinically, bone infarctions in sickle cell patients manifest as deep, dull, or throbbing pain, often localized to long bones or joints but without a clear history of trauma. Pain tends to worsen during sickle crises, when deoxygenation increases vascular blockage. Swelling and warmth may occur, mimicking infection or inflammation.

A key differentiator for chiropractors and PTs is that this pain is not mechanical—it doesn’t fluctuate with posture or activity. Motion testing may reveal pain but not necessarily restriction. During acute episodes, the bone is vulnerable to microfracture, so heavy manual therapy or high-force mobilization should be avoided.

Radiologically, DACBRs identify these lesions through MRI findings showing medullary edema or chronic serpiginous borders. Reviewing the radiology report for these indicators allows clinicians to tailor conservative care appropriately.

For physical therapists, gentle range of motion, hydrotherapy, and pain modulation (e.g., TENS, heat) are recommended once acute pain subsides. Chiropractors should focus on supportive care and interprofessional communication with hematology or radiology specialists for safe co-management.

MRI shows a serpiginous border and the classic “double line sign.” X-rays reveal medullary sclerosis in later stages.


MRI is the most sensitive imaging modality for bone infarctions. The hallmark is the “double line sign” on T2-weighted images: an inner bright rim (granulation tissue) and an outer dark rim (sclerotic bone). These findings reflect reparative changes at the infarct’s periphery. Early MRI may also reveal marrow edema and fatty necrosis.

X-rays are often normal early on but may later display medullary sclerosis, patchy lucency, and serpiginous margins. Chronic infarctions produce dense, irregular lines within the bone’s diaphysis.

DACBRs and diagnostic imaging consultants play a key role in differentiating infarctions from other pathologies like osteomyelitis or metastasis. Radiology reports often use terms such as “serpiginous medullary sclerosis,” “osteonecrosis,” or “bone infarction pattern.”

Chiropractors and physical therapists should familiarize themselves with these radiologic patterns. When reviewing imaging, any mention of infarction warrants cautious care, avoiding compressive or high-velocity adjustments in the affected region. Early collaboration with the interpreting chiropractic radiologist (DACBR) ensures accurate understanding and safe case management.

 

Osteomyelitis involves infection and systemic symptoms, while bone infarction is sterile and often multifocal.


In sickle cell disease, differentiating osteomyelitis from bone infarction can be challenging because both present with bone pain and radiographic abnormalities. However, several clinical and imaging clues help distinguish them.

Osteomyelitis typically presents with fever, elevated inflammatory markers, and localized warmth, often adjacent to joints. In contrast, infarctions are sterile, multifocal, and may recur without systemic illness.

On MRI, osteomyelitis often shows cortical disruption, abscess formation, and surrounding soft tissue enhancement, whereas infarction produces well-defined medullary signal changes with a serpiginous rim. DACBRs and diagnostic imaging consultants are vital in interpreting these distinctions, as misclassification can lead to unnecessary antibiotic therapy or delayed rehabilitation.

For chiropractors and PTs, awareness of this differential is essential. Persistent pain with swelling or warmth warrants medical referral for imaging correlation. Reviewing radiology reports carefully and collaborating with a DACBR ensures proper diagnosis and safe continuation of physical care.

During acute episodes, load-bearing should be minimized. Once stable, gentle ROM and strengthening are safe.


In the acute phase of bone infarction, pain and ischemia render bone tissue fragile and prone to collapse. For this reason, weight-bearing activities should be restricted until imaging confirms stability. Physical therapists should focus on gentle passive range-of-motion exercises and isometric strengthening to maintain function without stressing the bone.

As pain resolves and imaging shows reparative changes, progressive loading and postural retraining can begin. Chiropractors should avoid high-velocity adjustments or direct pressure over affected bones. Instead, they can address compensatory dysfunctions in adjacent regions, guided by radiology reports from a DACBR.

Diagnostic imaging consultants often provide follow-up MRI or X-ray interpretations to assess healing progression. Regular communication between therapists and imaging specialists ensures the rehabilitation plan aligns with radiologic findings.

A structured, staged approach allows patients to regain strength and mobility while minimizing the risk of re-infarction or fracture.

Severe pain spikes, local warmth, swelling, or non-resolving pain warrant medical or imaging referral.

Clinicians should remain alert to several red flags in patients with sickle cell disease or known bone infarctions:

•Sudden escalation of bone pain

•New swelling, redness, or warmth (possible infection)

•Night pain or systemic symptoms

•Persistent pain unresponsive to conservative care

•Structural deformity or collapse on follow-up imaging

These signs may indicate complications such as osteomyelitis, subchondral collapse, or pathological fracture. Chiropractors and PTs must review radiology reports carefully and communicate with the patient’s diagnostic imaging consultant or hematologist when findings evolve.

Because infarctions weaken bone integrity, forceful manual therapy could cause microfracture or exacerbate ischemia. Early DACBR consultation ensures imaging is up to date and guides safe treatment boundaries.

 

Provide low-impact exercise, hydration guidance, pain management, and coordinate with imaging and medical teams.

Long-term management of bone complications in sickle cell disease relies on a collaborative care model. Chiropractors and PTs play key roles in maintaining mobility, function, and pain control—but their approach must integrate radiologic and hematologic input.

DACBRs and diagnostic imaging consultants help monitor chronic infarctions via MRI or X-ray, ensuring safe progression in physical therapy. Radiology reports guide clinicians in adjusting load, frequency, and technique. Chiropractors can use gentle mobilization, postural correction, and education to improve biomechanics without stressing compromised bone.

Physical therapists should design low-impact exercise programs (e.g., swimming, cycling) that enhance circulation, joint health, and endurance. Education on hydration, oxygenation, and avoiding hypoxic triggers is vital to prevent crises.

By combining chiropractic radiology expertise with evidence-based rehabilitation, clinicians provide safer, more effective care—transforming radiology findings into actionable, functional recovery plans for patients living with sickle cell disease.

 
 

Partnering with a DACBR teleradiology service provides more than just a second opinion; it offers a significant return on investment:

  • Speed: Get expert reports in hours, not days.

  • Expertise: Access board-certified specialists without having to hire them.

  • Convenience: The entire process is handled online from your office.

  • Clarity: Receive clear, concise reports that are clinically relevant to chiropractic care, not generic medical reports.

Client REVIEWS