DACBR Report: Second Opinion on Upper Lung Fibrosis in Pulmonary Tuberculosis

Overview

Post‑tuberculous upper‑lobe disease classically shows fibro‑nodular scarring with volume loss, apical caps, and hilar/mediastinal upward retraction, often with associated bronchiectasis.

Fibrosis may represent healed, inactive TB or burnt‑out post‑primary disease, but subtle tree‑in‑bud nodularity, new cavitation, or changing opacities raise concern for reactivation.

CT better defines traction bronchiectasis, architectural distortion, and residual cavities; MRI is reserved for chest wall/spinal complications, and ultrasound mainly evaluates pleural sequelae.

Differential for upper‑lobe–predominant fibrosis includes sarcoidosis, pneumoconioses, chronic hypersensitivity pneumonitis, and prior radiation, requiring careful pattern and clinical correlation.

A detailed DACBR Second opinion Radiology Report can prevent mislabeling active TB as “old scarring,” or conversely overcalling stable fibro‑calcific changes as active infection, improving management decisions.

DACBR Report: Second Opinion on Upper Lung Fibrosis in Pulmonary Tuberculosis
Fig. 1 AP view of the lungs
DACBR Report: Second Opinion on Upper Lung Fibrosis in Pulmonary Tuberculosis
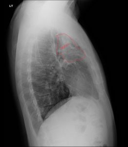
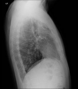
Fig. 2 Lateral view of the lungs
DACBR Report: Second Opinion on Upper Lung Fibrosis in Pulmonary Tuberculosis
Fig. 3 Annotated chest xray demonstrates bilateral apical lung fibrosis with upper-zone fibrotic opacities and a small calcified granuloma in the right mid-lungl.
Fig. 4 Annotated lateral chest xray demonstrates upper lobe fibrotic changes, consistent with pulmonary fibrosis.

Clinical Presentation

The “case of the week” framing with upper lung fibrosis assumes either a history of prior tuberculosis or clinical suspicion based on epidemiologic exposure, chronic cough, weight loss, or prior positive testing (TST or IGRA). Many patients with post‑tuberculous fibrosis are minimally symptomatic at the time of imaging; cough and dyspnea tend to reflect residual restrictive or mixed ventilatory impairment rather than acute infection. Others present with chronic cough, low‑grade fever, or hemoptysis, raising the question of reactivation against a background of scarred apical lungs.

For chiropractors, the typical complaint may be chronic upper thoracic or scapulothoracic discomfort, decreased exercise tolerance, or “tightness” in the upper chest that is easily attributed to postural or myofascial causes; however, the presence of marked apical volume loss and fibrosis mandates a visceral explanation. A Chiropractic radiologist DACBR reviewing chest imaging as part of Diagnostic Imaging Consultants can highlight when the pattern and chronicity fit inactive post‑TB scarring versus suspected ongoing disease requiring infectious disease referral.

Post‑primary (reactivation) TB has a predilection for the apical and posterior segments of the upper lobes and superior segments of lower lobes, likely related to higher oxygen tension favoring mycobacterial growth. Active disease produces exudative and fibro‑productive lesions that can cavitate, disseminate along airways (endobronchial spread), and eventually heal with fibrosis and architectural distortion. Over time, fibro‑nodular scarring, collagen deposition, and obliteration of alveolar spaces produce dense linear and reticular opacities, frequently with associated volume loss, traction bronchiectasis, and apical pleural thickening (“apical cap”).

Caseating granulomas may calcify, leaving fibro‑calcific scars that are characteristic of healed disease and often considered stigmata of prior TB. Progressive fibrotic remodeling can retract the hila and mediastinum superiorly, elevate the horizontal fissure, and distort bronchi, sometimes causing post‑tuberculous bronchiectasis and chronic airflow limitation. These morphologic sequelae are exactly what you showcase as “upper lung fibrosis” on case‑of‑the‑week radiographs: a lung that has been structurally remodeled as a long‑term consequence of infection, with or without ongoing mycobacterial activity.

ABCS Search Pattern Focused on Upper Lung Fibrosis
Alignment
On PA radiography, consider tracheal position, mediastinal contours, and hilar height. Post‑tuberculous upper‑lobe fibrosis often produces superior retraction of the hila and mediastinum toward the fibrotic apices, elevation of the horizontal and oblique fissures, and reduction in ipsilateral lung height. The trachea may deviate toward the more fibrotic lung in unilateral disease because of volume loss.

Bone
The ribs, clavicles, vertebrae, and scapulae are evaluated for osteolytic lesions, rib destruction, or Pott disease in advanced or complicated TB, though in “healed” upper‑lobe fibrosis the bony structures may be intact. Chronic kyphotic posturing or prior vertebral collapse can coexist and can be relevant for a Chiropractic radiologist’s musculoskeletal assessment.

Cartilage / Parenchyma
Parenchymal examination in suspected TB‑related fibrosis looks for:

Coarse linear, reticular, and fibro‑nodular densities in the apical and upper lung zones.

Evidence of volume loss (fissural displacement, reduced intercostal spaces superiorly).

Residual thin‑walled cavities or tubular lucencies from bronchiectatic change.

Healed post‑primary TB is typically described as fibro‑calcific change with sharp, discrete opacities and possible scattered calcified nodules. In contrast, active or recently active disease tends to have ill‑defined patchy consolidation, tree‑in‑bud nodules, and more heterogeneous densities superimposed on any background scarring.

Soft Tissue
Soft‑tissue and pleural review are critical. Apical pleural thickening and capping are common sequelae of upper‑lobe TB. Chronic fibrothorax with calcified pleural thickening and obliterated costophrenic angle indicates advanced fibrotic response. Mediastinal or hilar lymph node enlargement is typically a feature of primary or active disease, whereas isolated fibrosis with no significant lymphadenopathy favors inactive sequelae.

Key chest‑radiograph features of post‑TB upper‑zone fibrosis include:

Apical and upper‑zone volume loss with elevation of hila and fissures.

Fibro‑nodular opacities and linear scarring concentrated in apical and posterior upper lobes.

Apical pleural thickening or “caps,” often bilateral but asymmetric.

Traction bronchiectasis and residual cavities in more severe cases.

Inactive disease is suggested by stability over time, well‑marginated fibrotic bands, and absence of new consolidation or tree‑in‑bud nodularity. Reactivation is suspected when new heterogeneous opacities, thick‑walled cavities, or satellite nodules emerge in or around a fibrotic upper‑lobe region. A DACBR‑level Second opinion Radiology Report should explicitly state whether the imaging pattern is compatible with “sequelae of prior TB, with no definite radiographic features of active disease” versus “fibrotic background with superimposed findings suspicious for active tuberculosis.”

On PA radiography, right mid-lung field pneumonia typically appears as a focal or segmental opacity in the mid-zone between the lung apex and costophrenic angle, often near the perihilar or lateral region. Vascular markings within the region become obscured or “washed out,” and the opacity may have fluffy or ill-defined margins suggesting airspace disease rather than sharply marginated mass.

If the opacity abuts the right heart border or right hemidiaphragm, the silhouette sign can help refine lobar localization; however, in many mid-field opacities, the lesion is sufficiently central or superior that neither cardiac nor diaphragmatic silhouettes are clearly effaced. The lateral view becomes more essential in this scenario, showing an ill-defined opacity corresponding to the level of involvement (often overlapping anterior and middle lung regions), though precise fissural boundaries may still not be evident.

Localized air bronchograms within the mid-field opacity strongly support an airspace process such as pneumonia rather than solid tumor, although certain neoplasms can also show pseudo-air bronchograms or surround patent bronchi. In the DACBR Radiology Report, it is important to comment on the presence or absence of air bronchograms, volume loss, and any associated nodules or cavitation, as these features heavily influence further work-up.

CT is the workhorse for detailed assessment of post‑tuberculous lungs. In upper‑lobe fibrosis, CT commonly demonstrates:

Architectural distortion with retraction of bronchi and vessels toward the apex.

Traction bronchiectasis (dilated, thick‑walled bronchi within fibrotic lung).

Fibrotic bands, reticulation, and volume loss centered in apical/posterior upper lobes and superior lower‑lobe segments.

Residual cavities may be thin‑ or thick‑walled; presence of air–fluid levels, mural nodularity, or progressive thickening raises concern for active disease or superinfection (e.g., aspergilloma). Tree‑in‑bud centrilobular nodules represent active endobronchial spread of TB and are a hallmark of reactivation when overlaid on fibrotic parenchyma.

CT attenuation of fibrotic tissue is similar to other interstitial fibrosis, with dense bands and volume loss rather than discrete HU thresholds. However, CT allows confident distinction between fibrosis, mucus plugging, small nodules, and cavities, which is essential when a prior “scarred apex” is re‑imaged years later for chronic cough. A Chiropractic radiologist DACBR acting as part of Diagnostic Imaging Consultants is well placed to compare serial CTs and determine whether the fibrotic morphology is stable, progressive, or now overlaid with new active TB.

MRI has a limited primary role in pulmonary TB but is useful for evaluating chest wall, spine, or brachial plexus involvement in advanced or disseminated disease. In this context, post‑tuberculous upper‑lobe fibrosis may be background while MRI targets Pott disease, paraspinal abscess, or apical chest wall masses. Fibrotic lung typically appears as low‑signal intensity bands on both T1‑ and T2‑weighted sequences with minimal enhancement.

Ultrasound primarily evaluates pleural disease; chronic TB can leave residual pleural thickening, calcification, or loculated effusions, all well characterized sonographically. Parenchymal fibrosis itself is not a primary ultrasound target, but apical pleural collections or subpulmonic fluid related to TB sequelae may be encountered.

Upper‑lobe–predominant fibrosis is not specific to tuberculosis. Common differentials include:

Tuberculosis (post‑primary / sequelae).

Sarcoidosis.

Pneumoconioses (silicosis, coal workers).

Chronic hypersensitivity pneumonitis.

Post‑radiation fibrosis.

A succinct comparison:

Condition Distribution / Pattern Key Distinguishing Features
Post‑TB upper‑lobe fibrosis Apical upper‑zone fibro‑nodular scarring, volume loss
Cavities, traction bronchiectasis, fibro‑calcific scars
Sarcoidosis Perilymphatic nodules, upper‑mid lung, hilar nodes
Symmetric hilar/mediastinal LAD, beading along fissures
Silicosis / CWP Upper‑lobe nodules, progressive massive fibrosis
Occupational exposure, egg‑shell calcified nodes
Chronic hypersensitivity pneumonitis Mid‑upper predominance, mosaic attenuation, fibrosis
Air‑trapping, centrilobular ground glass; exposure history
Post‑radiation fibrosis Conforms to radiation port, sharp geometric margins
History of RT; sharply demarcated homogeneous fibrosis
For the case‑of‑the‑week, emphasizing why the pattern is “typical TB fibrosis” rather than sarcoid or pneumoconiosis—based on absence of symmetric lymphadenopathy, lack of PMF masses, or radiation field geometry—is a key teaching point.

Upper lung fibrosis in tuberculosis represents the chronic end‑stage of a fibro‑productive granulomatous infection, characterized radiographically by apical volume loss, fibro‑nodular scarring, traction bronchiectasis, and pleural capping. The major diagnostic challenge is differentiating stable, inactive fibrotic sequelae from superimposed active disease or alternative causes of upper‑lobe fibrosis such as sarcoidosis or occupational lung disease.

Common pitfalls include overlooking subtle active tree‑in‑bud nodularity or new cavitation within scarred apices, dismissing progressive fibrotic change as “unchanged scarring,” or failing to recognize that apical fibro‑calcific scars carry epidemiologic and clinical significance even when microbiology is negative. A meticulous DACBR Second opinion Radiology Report from a Chiropractic radiologist working within Diagnostic Imaging Consultants can clarify these issues, guiding appropriate microbiologic testing, therapy, and follow‑up rather than reflexively labeling all apical fibrosis as “old, incidental.”

A high‑level expert imaging consultation ensures that every case of upper‑lobe fibrosis is systematically analyzed for post‑tuberculous sequelae versus ongoing disease, so that patients receive neither undertreatment of active TB nor unnecessary intervention for stable scar.

At Kinetic Radiology, our DACBR team provides detailed, timely imaging interpretations designed to help chiropractors and healthcare providers deliver confident, evidence-based care.

Every day, chiropractors face the same frustration: imaging reports that miss what matters. General radiologists weren’t trained in your world; they don’t understand subluxations, joint dysfunction, or the biomechanical findings that drive your treatment decisions.

The result? Delayed care. Uncertain patients. Cases that stall when they should be progressing.

The Kinetic Radiology Difference: Chiropractors Reading for Chiropractors

Our board-certified DACBRs aren’t just radiologists. We’re chiropractors who chose to specialize in musculoskeletal imaging. We speak your language because we’ve stood where you stand.

What This Means for Your Practice:

Reports You Can Act On Immediately – No vague findings. No irrelevant details. Just the specific insights that guide your next adjustment, your treatment plan, and your patient conversations.

Same-Day Turnaround – Your patients don’t want to wait days wondering what’s wrong. Neither should you. Get clarity fast so care never stalls.

Documentation That Protects Your Practice – Whether it’s insurance requirements, legal protection, or patient records, our reports give you the clinical backing you need.

Confidence That Builds Your Reputation – When patients see you consulting with specialized radiologists, they recognize your commitment to excellence. That trust turns into loyalty, referrals, and five-star reviews.

Is Your Current Imaging Reading Costing You Patients?

Think about the last complex case you handled. Did the radiology report actually help you—or did you have to fill in the gaps yourself?

Now imagine having a DACBR partner who catches the subtle findings, flags the red flags, and gives you confidence in every diagnosis.

Start With One Case—See the Difference Yourself

No commitment. No risk. Just submit your next challenging case and experience what specialized chiropractic radiology can do for your clinical confidence and patient outcomes.

Schedule Your Case Consultation

Questions? Call us at 321 325 0096 or email at support@kineticradiology.com

Frequently asked questions

Does upper lung fibrosis on X‑ray always mean old tuberculosis?

No, upper‑lobe fibrosis has several causes and is not always due to prior TB.

While fibro‑nodular scarring and volume loss in the apices are classic for healed post‑tuberculous disease, similar upper‑lobe–predominant fibrosis can occur in sarcoidosis, pneumoconioses, chronic hypersensitivity pneumonitis, and prior radiation. A DACBR Second opinion Radiology Report from Diagnostic Imaging Consultants helps differentiate TB‑related scarring from these other entities based on pattern, distribution, and clinical context.

Stability and sharply marginated scars favor inactive disease; new consolidation, nodules, or cavities suggest activity.

Inactive TB typically shows stable fibro‑calcific scars, apical pleural thickening, and volume loss without new opacities, whereas active or reactivated TB demonstrates new heterogeneous consolidation, centrilobular nodules, tree‑in‑bud pattern, and evolving cavities superimposed on scarring. Imaging alone cannot definitively prove activity, but integrated interpretation by a Chiropractic radiologist DACBR plus microbiologic testing offers the most reliable assessment.

It appears as apical scarring with volume loss, fibrotic bands, and sometimes calcified nodules.

Post‑TB upper‑lobe fibrosis on radiography is characterized by coarse linear and nodular opacities in the apices, decreased lung height, retraction of hila and fissures, apical pleural capping, and occasionally residual cavities or bronchiectasis. These features are routinely highlighted in a detailed DACBR Radiology Report when providing a Second opinion on prior tuberculosis.

Yes, extensive scarring and bronchiectasis can lead to chronic respiratory symptoms.

Post‑tuberculous fibrosis may produce restrictive, obstructive, or mixed ventilatory impairment due to loss of functional parenchyma, traction bronchiectasis, and chronic airway distortion, resulting in exertional dyspnea, chronic cough, or recurrent infections. Recognizing the structural burden of upper‑lobe fibrosis on imaging helps clinicians, including chiropractic providers working with Diagnostic Imaging Consultants, frame persistent respiratory symptoms correctly.

CT is not always necessary but is valuable when activity, complications, or alternative diagnoses are in question.

When chest radiographs show typical, stable apical fibro‑calcific scars and the patient has no concerning symptoms, CT may not change management; however, CT becomes important when new symptoms arise, when cavitation or mass is suspected, or when other causes of upper‑lobe fibrosis must be excluded. A DACBR Second opinion can help decide whether cross‑sectional imaging is warranted or whether the chest X‑ray offers sufficient information.

Sarcoidosis, silicosis, coal workers’ pneumoconiosis, chronic hypersensitivity pneumonitis, and radiation fibrosis are common mimics.

Several conditions produce upper‑lobe–dominant fibrotic changes, including granulomatous sarcoidosis with hilar lymphadenopathy, pneumoconioses with occupational exposure and massive fibrosis, chronic hypersensitivity pneumonitis with air‑trapping and mosaic attenuation, and radiation‑port fibrosis. A Chiropractic radiologist DACBR can contrast these entities in a Radiology Report when serving as a Second opinion Diagnostic Imaging Consultant.

Acute inflammatory components can improve, but established fibrosis generally does not regress.

With appropriate therapy, active infection resolves and inflammatory infiltrates subside, but the dense collagenous scarring, volume loss, and traction bronchiectasis that define post‑TB upper‑lobe fibrosis tend to persist or slowly progress rather than reverse. Serial imaging interpreted by a DACBR helps distinguish transient inflammatory changes from fixed structural damage.

Not by itself; fibrosis alone usually reflects past disease, but associated active changes raise contagiousness concerns.
Long form: Isolated stable apical scarring without new consolidation, cavities, or tree‑in‑bud nodularity typically indicates non‑contagious, healed TB, whereas the presence of active parenchymal lesions, cavitation, or endobronchial spread superimposed on fibrosis suggests potentially infectious disease. Imaging must be interpreted alongside microbiologic tests, and a DACBR Second opinion can clarify how worrisome the current pattern is.

They usually describe “fibro‑nodular scarring” or “fibro‑calcific changes” in the apices and comment on stability and activity.

 A typical Radiology Report notes the presence, distribution, and severity of apical fibro‑nodular opacities, cavitation, bronchiectasis, and pleural thickening, then compares with prior studies to assess stability and mentions whether findings are consistent with inactive post‑tuberculous change or suspicious for active disease. A Chiropractic radiologist DACBR providing a Second opinion through Diagnostic Imaging Consultants will often add explicit statements about clinical implications and suggested follow‑up.

To clarify whether the findings represent old, stable TB scars or possible active or alternative pathology.

Because upper‑lobe fibrosis has a broad differential and small superimposed active lesions can be subtle, clinicians often seek a DACBR Second opinion when treatment decisions hinge on whether the imaging reflects inactive scars, reactivation, or another disease such as sarcoidosis or pneumoconiosis. Diagnostic Imaging Consultants with expertise in TB patterns provide high‑level Radiology Reports that reduce misclassification and guide appropriate further testing.

Partnering with a DACBR teleradiology service provides more than just a second opinion; it offers a significant return on investment:

  • Speed: Get expert reports in hours, not days.

  • Expertise: Access board-certified specialists without having to hire them.

  • Convenience: The entire process is handled online from your office.

  • Clarity: Receive clear, concise reports that are clinically relevant to chiropractic care, not generic medical reports.

Client REVIEWS