DACBR vs Chiropractor: Subtle lateral malleolar fracture

DACBR vs Chiropractor: Subtle lateral malleolar fracture
Fig. 1 Posterior view of the foot
DACBR vs Chiropractor: Subtle lateral malleolar fracture
Fig. 2 Lateral view of the foot
DACBR vs Chiropractor: Subtle lateral malleolar fracture
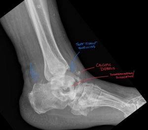
Fig. 3 Annotated xray demonstrating fracture line with minimal displacement and soft tissue swelling
DACBR vs Chiropractor: Subtle lateral malleolar fracture
Fig. 4 Annotated xray showing distal tibial fracture with Kager’s fat pad effusion and degenerative changes, including osteophyte and enthesophyte formation

Anatomy and Pathophysiology

The ankle joint, known anatomically as the talocrural joint, is a sophisticated synovial hinge joint responsible for the up-and-down motion of the foot (dorsiflexion and plantarflexion). Its remarkable stability comes from a precise bony architecture, often referred to as the ankle “mortise,” which is reinforced by a robust network of ligaments. This mortise is formed by three bones: the tibia, the fibula, and the talus.

Tibia: This is the larger of the two lower leg bones. It forms the roof of the ankle joint (the tibial plafond) and the bony prominence on the inner side of the ankle (the medial malleolus).

Fibula: The thinner, non-weight-bearing bone that runs parallel to the tibia. Its distal end forms the bony prominence on the outer side of the ankle, which is the lateral malleolus.

Talus: This dome-shaped bone sits snugly within the mortise, acting as the crucial connection between the leg and the foot.

The integrity of this bony socket is paramount. It is held together by strong ligaments. On the outer (lateral) side, three main ligaments prevent the ankle from rolling inwards excessively: the anterior talofibular ligament (ATFL), the calcaneofibular ligament (CFL), and the posterior talofibular ligament PTFL). On the inner (medial) side, the powerful deltoid ligament provides stability. Finally, the tibia and fibula are bound together just above the ankle joint by a tough, fibrous structure called the syndesmosis, which is critical for maintaining the width and stability of the mortise.

The pathophysiology of a lateral malleolar fracture is a story of force exceeding the bone’s structural capacity. The most common sequence of events is a supination-inversion injury, where the foot rolls inwards. This places the lateral ligaments under immense tension. The ATFL is usually the first to fail, resulting in a common ankle sprain. If the force continues, it is transmitted directly to the distal fibula. This creates a powerful bending and rotational moment on the bone. The fibula, unable to absorb this acute overload, fractures. The location and pattern of the fracture line are directly related to the position of the foot and the direction of the force at the moment of impact. An unstable fracture occurs when there is associated damage to the medial ligaments (deltoid) or the syndesmosis, causing the talus to shift within the mortise. This loss of congruency is a serious issue that can lead to rapid, debilitating post-traumatic arthritis if not properly addressed.

Mechanism of Injury

The mechanism of injury for a lateral malleolar fracture is almost always traumatic and typically involves a forceful twisting or rolling of the ankle. While it can occur from a direct blow to the outer ankle, this is far less common. The vast majority of these injuries result from indirect forces, such as those experienced during sports, falls, or even a simple misstep on uneven ground.

The most classic mechanism is a supination-external rotation (SER) event, which aligns with the Lauge-Hansen classification system. Let’s break down this common sequence:

1. Supination/Inversion: The foot lands and is forced to roll inwards, with the sole of the foot turning towards the midline of the body. This places the lateral ligamentous complex under significant tension. The anterior talofibular ligament (ATFL) is often the first structure to sprain or rupture.

2. External Rotation of the Talus: As the body’s momentum continues forward over the planted foot, the talus rotates externally (outwards) within the ankle mortise.

3. Fracture: This rotational force is transmitted to the fibula, creating an oblique or spiral fracture that typically starts at the level of the joint line and propagates upwards and backwards.

Another common mechanism is a pronation-abduction injury, where the foot is planted and forcibly twisted outwards. This places tension on the medial deltoid ligament first and then creates a compressive force on the lateral side, often resulting in a different fracture pattern, sometimes higher up the fibula.

Understanding the specific mechanism is not just an academic exercise. It helps the clinician predict the likely pattern of injury, anticipate associated ligamentous damage, and determine the overall stability of the ankle. For example, knowing the injury was a high-energy event, like a fall from a height, should raise the index of suspicion for more complex injuries involving the syndesmosis or other bones in the foot and leg. A skilled chiropractor will take a detailed history of the event to piece together these biomechanical clues.

Standard plain film radiography is the cornerstone of diagnosis for a suspected lateral malleolar fracture. A proper ankle series must include at least three views to fully assess the bone and joint integrity:

1. Anteroposterior (AP) View: A straight-on view from the front. It is useful for assessing the general alignment of the tibia and fibula.


2. Lateral View: A side view that is excellent for visualizing the anterior and posterior aspects of the tibia, the talus, and the calcaneus. It is the best view for identifying posterior malleolar fractures and assessing for any anterior or posterior displacement of the talus.


3. Mortise View: This is the most critical view for assessing the stability of the ankle joint. It is taken like an AP view but with the leg internally rotated by 15-20 degrees. This rotation brings the lateral and medial malleoli into the same plane, providing a true, unobstructed view of the entire ankle mortise.

On these images, the radiologist and treating clinician will look for several key features:

The Fracture Line: Is it visible? Where is it located relative to the joint line (Weber classification A, B, or C)? What is its orientation (transverse, oblique, spiral)? Are the fracture edges sharp (indicating an acute injury) or sclerotic (suggesting an older, non-united fracture)?


Displacement: Are the fracture fragments still aligned, or have they shifted apart? Displacement of more than 2 mm is generally considered significant.


The Medial Clear Space: This is the space between the medial malleolus and the talus, best seen on the mortise view. A space greater than 4-5 mm suggests an injury to the deltoid ligament and indicates ankle instability.


The Tibiofibular Overlap and Clear Space: On the AP and mortise views, there should be a clear overlap between the distal tibia and fibula. A loss of this overlap or a tibiofibular clear space greater than 6 mm suggests a syndesmotic injury (a “high ankle sprain”), which also signifies an unstable ankle.


Talar Tilt or Shift: Is the talus centered within the mortise, or has it shifted sideways or tilted? Any deviation indicates instability.

These meticulous radiographic assessments are what differentiate a simple, stable fracture from a complex, unstable injury that requires a different management approach.

Role of the Chiropractic Radiologist (DACBR)

In the modern musculoskeletal healthcare landscape, the role of the board-certified chiropractic radiologist, or DACBR, is indispensable. While many treating chiropractors are proficient at identifying common fractures, the specialized expertise of a DACBR provides a level of diagnostic precision and clinical confidence that is essential for optimal patient care.

When a chiropractor orders an ankle series and sends it to Diagnostic Imaging Consultants for interpretation, they are accessing a specialist who brings a unique focus to the evaluation. The DACBR does more than just spot the fracture line. Their analysis, detailed in the chiropractic radiology reports, focuses on the critical question of joint stability. They will meticulously measure the medial clear space, assess the tibiofibular syndesmosis, and scrutinize the position of the talus within the mortise.

This detailed evaluation is the most important factor in determining the patient’s course of care. A DACBR’s report will explicitly state whether the findings are consistent with a stable or unstable ankle. This provides the treating chiropractor with a definitive answer to the most important clinical question: Can this patient be managed conservatively with immobilization, or do they require an immediate referral to an orthopedic surgeon for surgical fixation?

By providing this clear, evidence-based interpretation, the DACBR empowers the chiropractor to act as a responsible primary spine care provider. It allows them to confidently manage stable fractures within their scope of practice while ensuring that unstable or complex injuries are appropriately triaged to a surgical specialist without delay. This interprofessional collaboration, built on the foundation of expert diagnostic imaging, is the hallmark of modern, patient-centered care.

Treatment and Collaborative Care

The treatment plan for a lateral malleolar fracture is dictated entirely by the stability of the ankle.

For Stable, Non-displaced Fractures:
Conservative, non-operative management is the standard of care. The goal is to immobilize the joint to allow the bone to heal in its proper position.

Immobilization: This typically involves placing the patient in a walking boot (cam walker) or a short-leg cast.

Weight-Bearing Status: For the first few weeks, the patient is usually instructed to be non-weight-bearing, using crutches to get around. As healing progresses (confirmed by follow-up X-rays), they are gradually allowed to begin partial and then full weight-bearing in the boot. This entire immobilization phase typically lasts about 6 weeks.

Rehabilitation: This is where a chiropractor or physical therapist plays a leading role. Once immobilization is discontinued, a structured rehabilitation program is crucial. This program focuses on restoring range of motion, rebuilding muscle strength (especially in the peroneal and tibialis muscles), and, most critically, retraining proprioception (the sense of balance and joint position).

For Unstable or Displaced Fractures:
These injuries require an immediate referral to an orthopedic surgeon. Conservative management is not an option, as the ankle will not heal in a stable position, leading to poor function and a high risk of debilitating post-traumatic arthritis.

Surgical Intervention: The standard procedure is an Open Reduction and Internal Fixation (ORIF). The surgeon makes an incision, realigns the bone fragments (Open Reduction), and then fixes them in place with surgical hardware, typically a metal plate and screws (Internal Fixation).

Post-Operative Care: Following surgery, the patient will undergo a similar course of immobilization and progressive rehabilitation as described above, though the timeline may be adjusted by the surgeon. The chiropractor can be an integral part of this post-operative rehab team, collaborating with the surgeon to guide the patient back to full function.

In either scenario, the chiropractor can also provide valuable adjunctive care, addressing secondary issues like gait abnormalities, deconditioning, and compensatory pain in the hip or low back that may arise during the recovery period.

1. Stability is the Decisive Factor: The entire management algorithm for a lateral malleolar fracture hinges on the answer to one question: Is the ankle mortise stable? This can only be answered with high-quality radiographs, including a mortise view, and expert interpretation.

2. The Mortise View is Non-Negotiable: A standard AP view is insufficient for assessing the ankle joint. The 15-20 degree internal rotation mortise view is the single most important image for evaluating the medial clear space and the congruency of the talus.

3. Always Check the Syndesmosis: In fractures that occur above the joint line (Weber C) or those with medial-sided tenderness, a high index of suspicion for a syndesmotic injury is crucial. A missed syndesmotic injury leads to chronic instability and poor outcomes.

4. Proprioception is the Key to Preventing Re-injury: A fracture “heals” in 6-8 weeks, but the neuromuscular system takes much longer to recover. A rehabilitation program that neglects targeted proprioceptive and balance training is incomplete and leaves the patient at a high risk for future ankle sprains.

5. Use the Ottawa Ankle Rules: These validated clinical decision rules are highly effective at reducing the need for unnecessary radiography in acute ankle injuries. Familiarity with and application of these rules is a hallmark of an evidence-based practitioner.

At Kinetic Radiology, our DACBR team provides detailed, timely imaging interpretations designed to help chiropractors and healthcare providers deliver confident, evidence-based care.

Every day, chiropractors face the same frustration: imaging reports that miss what matters. General radiologists weren’t trained in your world; they don’t understand subluxations, joint dysfunction, or the biomechanical findings that drive your treatment decisions.

The result? Delayed care. Uncertain patients. Cases that stall when they should be progressing.

The Kinetic Radiology Difference: Chiropractors Reading for Chiropractors

Our board-certified DACBRs aren’t just radiologists. We’re chiropractors who chose to specialize in musculoskeletal imaging. We speak your language because we’ve stood where you stand.

What This Means for Your Practice:

Reports You Can Act On Immediately – No vague findings. No irrelevant details. Just the specific insights that guide your next adjustment, your treatment plan, and your patient conversations.

Same-Day Turnaround – Your patients don’t want to wait days wondering what’s wrong. Neither should you. Get clarity fast so care never stalls.

Documentation That Protects Your Practice – Whether it’s insurance requirements, legal protection, or patient records, our reports give you the clinical backing you need.

Confidence That Builds Your Reputation – When patients see you consulting with specialized radiologists, they recognize your commitment to excellence. That trust turns into loyalty, referrals, and five-star reviews.

Is Your Current Imaging Reading Costing You Patients?

Think about the last complex case you handled. Did the radiology report actually help you—or did you have to fill in the gaps yourself?

Now imagine having a DACBR partner who catches the subtle findings, flags the red flags, and gives you confidence in every diagnosis.

Start With One Case—See the Difference Yourself

No commitment. No risk. Just submit your next challenging case and experience what specialized chiropractic radiology can do for your clinical confidence and patient outcomes.

Schedule Your Case Consultation

Questions? Call us at 321 325 0096 or email at support@kineticradiology.com

Frequently asked questions

What is a lateral malleolar fracture?

 It’s a broken bone on the outside of your ankle.

The lateral malleolus is the end of the fibula bone, which forms the bony bump on the outer side of your ankle. This is one of the most common ankle fractures, usually caused by a twisting or rolling injury.

Only if the fracture is “unstable” or the bone is out of place.

Surgery is reserved for unstable fractures where the ankle joint is no longer aligned. If the fracture is a simple, clean break and the bone fragments haven’t moved (a stable fracture), it can be treated very effectively with a cast or a walking boot to hold it in place while it heals.

The bone takes about 6-8 weeks to heal, but a full recovery and return to sport can take 3-6 months.

 While the bone itself mends in about two months, the surrounding muscles, ligaments, and nerves need much more time to recover. A full rehabilitation program is necessary to regain your strength, motion, and balance, which is why the total recovery timeline is significantly longer.
.

It provides the clearest view of the entire ankle joint to check for stability.

 A standard X-ray can have bones overlapping, which can hide subtle signs of instability. The mortise view is taken at a special angle that opens up the joint space, allowing the doctor to accurately see if the ankle is properly aligned, which is the most important factor in deciding on treatment.

A fracture is a broken bone, while a sprain is a torn ligament.

 A sprain is an injury to the tough, elastic bands (ligaments) that connect bones, whereas a fracture is a break in the bone itself. They can happen at the same time and feel very similar, which is why an X-ray is needed to make a definitive diagnosis.

It can cause the broken bone to shift out of place and disrupt the healing process.

In the early stages, the fracture site is like wet cement. Putting your body weight on it can cause the bone fragments to move, potentially turning a stable fracture into an unstable one that requires surgery. Adhering to weight-bearing restrictions is crucial.

A DACBR is a Doctor of Chiropractic who is a board-certified specialist in medical imaging.

A Diplomate of the American Chiropractic Board of Radiology (DACBR) has completed extensive post-doctoral training in interpreting musculoskeletal X-rays, MRIs, and CT scans. Their expert analysis, provided in chiropractic radiology reports, is vital for an accurate diagnosis.

Chiropractors are trained to diagnose and conservatively manage musculoskeletal injuries, including stable fractures.

Doctors of Chiropractic are primary healthcare providers for the musculoskeletal system. They can diagnose the injury, determine if it’s stable, and if so, guide the patient through the immobilization and rehabilitation phases. They are also trained to recognize unstable injuries that require an immediate referral to an orthopedic surgeon.

It’s your body’s sense of balance and joint position.

Proprioception is the complex neuromuscular process that allows your brain to know where your ankle is in space without you having to look at it. After an injury, this system is damaged, which is why your ankle might feel “wobbly” even after it heals. Specific balance exercises are needed to retrain it.

The risk is very low for a stable fracture that heals properly, but higher for severe or unstable injuries.

Post-traumatic arthritis is a concern when the cartilage surface of the joint is damaged or if the joint heals out of alignment. This is why accurately diagnosing and properly treating unstable fractures (often with surgery) is so important for long-term joint health.

Lingering swelling after a major fracture is normal and can last for many months.

 An ankle fracture causes significant trauma to the local soft tissues and disrupts the lymphatic system’s ability to drain fluid. While the initial, severe swelling subsides, a lower-grade, persistent swelling is very common and can last for 6 months to a year as the tissues fully remodel.

Typically after 3-4 months, once you have regained full strength, motion, and balance.

Returning to sport is the final phase of rehabilitation and should not be rushed. You must meet specific criteria, including having no pain, full range of motion, strength that is at least 90% of your uninjured side, and the ability to perform sport-specific movements like cutting and jumping without instability.

They are a set of guidelines doctors use to decide if an ankle injury needs an X-ray.

The Ottawa Ankle Rules are a highly accurate clinical decision tool. They help clinicians determine if a patient has a very low probability of a fracture, thus avoiding the need for an unnecessary X-ray. They are based on specific areas of bone tenderness and the patient’s ability to bear weight.

They are expert radiologists who provide specialized interpretations of medical images for doctors.

Diagnostic Imaging Consultants are companies or groups of radiologists, like DACBRs, who offer their expertise to other healthcare providers. A chiropractor can send your X-rays to them to get a detailed, expert report, ensuring the highest level of diagnostic accuracy.

Yes, stiffness is very common after being in a cast or boot and is a primary focus of rehabilitation.

After weeks of being immobilized, the soft tissues around the joint contract, and scar tissue forms, leading to significant stiffness. A major goal of your physical therapy or chiropractic rehabilitation will be to perform specific stretches and mobilization techniques to gradually restore your full range of motion.

Partnering with a DACBR teleradiology service provides more than just a second opinion; it offers a significant return on investment:

  • Speed: Get expert reports in hours, not days.

  • Expertise: Access board-certified specialists without having to hire them.

  • Convenience: The entire process is handled online from your office.

  • Clarity: Receive clear, concise reports that are clinically relevant to chiropractic care, not generic medical reports.

Client REVIEWS