Skip to content
  • QUICK ASSIST (321) 325-0096
  • SUPPORT@KINETICRADIOLOGY.COM
Facebook Twitter Instagram Youtube KineticAI Logo
  • RADIOLOGY SERVICES

    Diagnostic Imaging Interpretation

    X-RAYS | MRI | CBCT | CT SCANS | ULTRASOUND

    Expert image study and comprehensive report related to the musculoskeletal system by our Diagnostic Imaging Consultants. Fast, easy, smart, and secure!
    Chiropractors
    Medical Providers
    Patient Direct Services
    Get Started Now!
    Frequently Asked Questions
    • QUICK ASSIST
      (321) 325-0096

    Second
    Opinions

    Second opinions are a common practice that adds an additional layer of expertise for difficult or unclear cases.

    X-RAYS | MRI | CBCT | CT SCANS | ULTRASOUND

    Learn More

    Other Professional
    Services

    • STAT Reads
    • AOMSI Reads
      • PACS Backup
      • Educational Seminars

    X-RAYS | MRI | CBCT | CT SCANS | ULTRASOUND

    Learn More
    Get Started
  • MEET OUR EXPERTS

    Rishi Bodalia

    DC, MS, DACBR, RMSK

    Learn More

    Jessica Billham

    DC, DACBR, RMSK

    Diagnostic Imaging Consultants - Jessica Billham - DACBAR
    Learn More

    Joshua Wells

    DC, DACBR

    Learn More

    Travis Robinson

    DC, MS, DACBR

    Learn More

    Simone J. Jordan

    DC, DACBR

    Learn More

    WE ARE GROWING

    Interested in joining a dynamic group of Radiologists blazing new trails?

    CLICK HERE
    View All
  • RESOURCES

    Helpful Resources

    Get Started Now!
    For Radiologists
    Chiropractors
    Medical Providers
    Request Sample Reports
    Learning Resource Center
    Frequently Asked Questions

    News & Posts

    DACBR Report: Second Opinion on Upper Lung Fibrosis in Pulmonary Tuberculosis

    DACBR Report: Second Opinion on Upper Lung Fibrosis in Pulmonary Tuberculosis

    March 8, 2026
    Read More »
    DACBR Report: Second Opinion on Right Mid-Lung Field Pneumonia in a 30-Year-Old Female with Cough

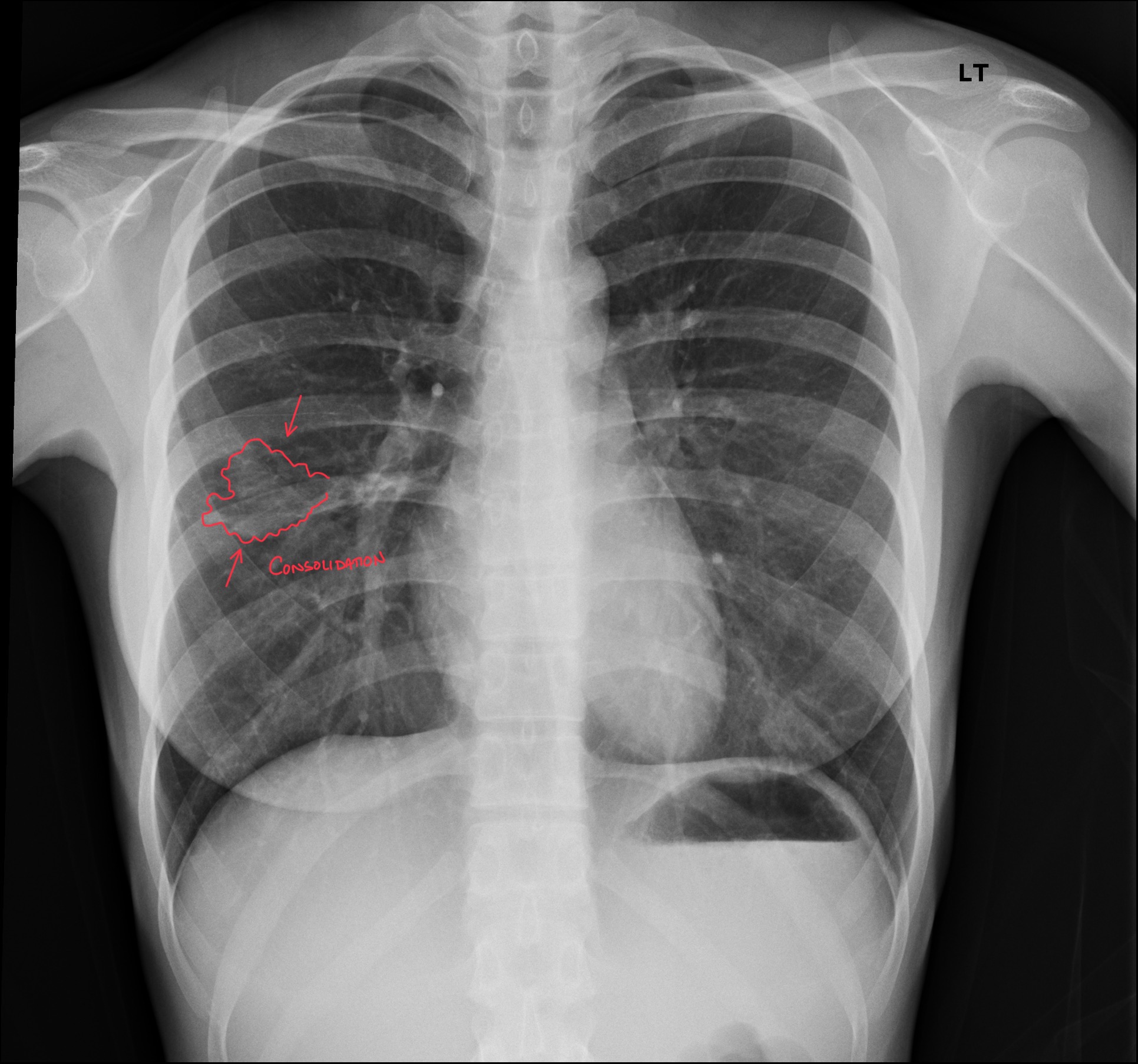
    DACBR Report: Second Opinion on Right Mid-Lung Field Pneumonia in a 30-Year-Old Female with Cough

    February 27, 2026
    Read More »
    Second Metatarsal Stress Fracture: Diagnostic Imaging Consultants Guide to X-ray and MRI Findings

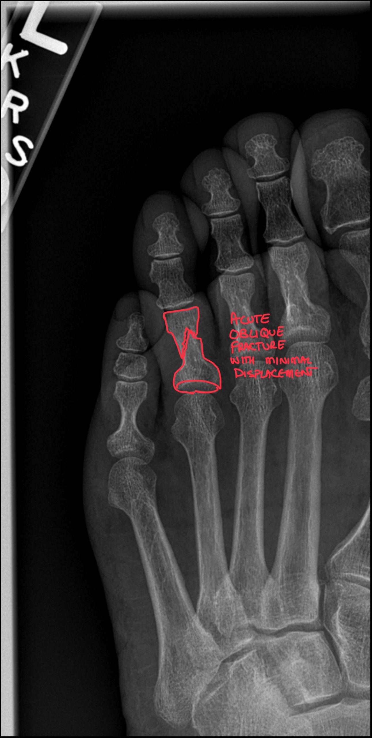
    Second Metatarsal Stress Fracture: Diagnostic Imaging Consultants Guide to X-ray and MRI Findings

    February 20, 2026
    Read More »
    Chondrocalcinosis and CPPD: Kinetic Radiology

    DACBR’s Guide to Chondrocalcinosis (CPPD) for Chiropractors

    February 6, 2026
    Read More »
    View More
    UPLOAD images and files
  • ABOUT US
  • CONTACT
  • QUICK ASSIST (321) 325-0096
  • SUPPORT@KINETICRADIOLOGY.COM

News & Articles

Recognizing Advanced Ankylosing Spondylitis: Chiropractors Guide by a Radiologist (DACBR)

Clinical Presentation A 56-year-old male presented with a several-year history of progressive thoracic spine pain and morning stiffness lasting more

Read More
Pellegrini Stieda Annotated Kinetic Radiology

Pellegrini-Stieda Lesion: When Medial Knee Pain Hides in Plain Sight

Clinical Presentation This presentation is one that clinicians across chiropractic and primary care encounter regularly. Medial knee pain in a

Read More
DACBR Report: Second Opinion on Upper Lung Fibrosis in Pulmonary Tuberculosis

DACBR Report: Second Opinion on Upper Lung Fibrosis in Pulmonary Tuberculosis

DACBR Report: Second Opinion on Upper Lung Fibrosis in Pulmonary Tuberculosis Overview Post‑tuberculous upper‑lobe disease classically shows fibro‑nodular scarring with

Read More
DACBR Report: Second Opinion on Right Mid-Lung Field Pneumonia in a 30-Year-Old Female with Cough

DACBR Report: Second Opinion on Right Mid-Lung Field Pneumonia in a 30-Year-Old Female with Cough

DACBR Report: Second Opinion on Right Mid-Lung Field Pneumonia in a 30-Year-Old Female with Cough Overview Right mid-lung field pneumonia

Read More
Second Metatarsal Stress Fracture: Diagnostic Imaging Consultants Guide to X-ray and MRI Findings

Second Metatarsal Stress Fracture: Diagnostic Imaging Consultants Guide to X-ray and MRI Findings

Second Metatarsal Stress Fracture: Diagnostic Imaging Consultants Guide to X-ray and MRI Findings Key Takeaways The “Silent” Fracture: Stress fractures

Read More
Chondrocalcinosis and CPPD: Kinetic Radiology

DACBR’s Guide to Chondrocalcinosis (CPPD) for Chiropractors

Chondrocalcinosis and CPPD: A Diagnostic Imaging Guide for Chiropractors, Primary Care, and Urgent Care Overview Calcium pyrophosphate deposition disease (CPPD)

Read More
Paget Disease of Bone: A Comprehensive Guide for Chiropractors, Primary Care Providers, and Urgent Care Centers

Paget Disease of Bone: A Comprehensive Guide for Chiropractors, Primary Care Providers, and Urgent Care Centers

Paget Disease of Bone: A Comprehensive Guide for Chiropractors, Primary Care Providers, and Urgent Care Centers Overview Paget Disease of

Read More
DACBRs Diagnose a Chronic Clavicle Fracture

DACBRs Diagnose a Chronic Clavicle Fracture

DACBRs Diagnose a Chronic Clavicle Fracture Fig. 1 AP cervical view Fig. 2 AP cervical view showing red annotation highlights

Read More
Compression Fracture: Radiology for Chiropractors, Imaging Centers, and Legal Teams

Compression Fracture: Radiology for Chiropractors, Imaging Centers, and Legal Teams

Compression Fracture: Radiology for Chiropractors, Imaging Centers, and Legal Teams Introduction A 64-year-old woman presents with acute lower back pain

Read More
Ankle Sprain Needs a Second Look from Your DACBR or Diagnostic Imaging Consultant

Ankle Sprain Needs a Second Look from Your DACBR (Diagnostic Imaging Consultant)

Ankle Sprain Needs a Second Look from Your DACBR or Diagnostic Imaging Consultant Introduction That “simple ankle sprain” might be

Read More
Load More

Join Our Newsletter

Kinetic Radiology

(321) 325-0096
support@kineticradiology.com

Service Areas

We service all 50 U.S. States, including the following States and Cities listed below.

Florida

  • Miami
  • Tampa
  • Orlando
  • Fort Lauderdale
  • Jacksonville
  • Daytona Beach
  • St. Petersburg

Illinois

  • Aurora
  • Chicago
  • Naperville
  • Springfield

Michigan

  • Warren
  • Detroit
  • Grand Rapids

New York

  • Buffalo
  • New York City
  • Syracuse
  • Rochester

Copyright 2024 Kinetic Radiology All Rights Reserved

Website Privacy | Terms of Use

Newsletter Opt-In

Receive timely resources to keep you and your practice on the cutting edge of Chiropractic Radiology.

Radiology Services

  • Diagnostic Imaging Services
  • Second Opinions
  • Educational Seminars
  • STAT Reads
  • AOMSI Reads
  • PACS Backup

Resources

  • Request Sample Reports
  • For Radiologists
  • Chiropractors
  • Medical Providers
  • Frequently Asked Questions
  • News & Posts

Radiologists

  • Rishi Bodalia, DC, MS, DACBR, RMSK
  • Jessica Billham, DC, DACBR, RMSK
  • Travis Robinson, DC, MS, DACBR
  • Simone J. Jordan, DC, DACBR
  • QUICK ASSIST
    (321) 325-0096

Kinetic Radiology

(321) 325-0096
support@kineticradiology.com

Service Areas

  • Miami
  • Tampa
  • Palm Beach
  • Chicago
  • Atlanta
  • Pensacola

Copyright 2024 Kinetic Radiology
All Rights Reserved

Website Privacy | Terms of Use

Newsletter Opt-In

Receive timely resources to keep you and your practice on the cutting edge of Chiropractic Radiology.

Radiology Services

  • Diagnostic Imaging Services
  • Second Opinions
  • Educational Seminars
  • STAT Reads
  • AOMSI Reads
  • PACS Backup

Resources

  • Request Sample Reports
  • For Radiologists
  • Chiropractors
  • Medical Providers
  • Frequently Asked Questions
  • News & Posts

Radiologists

  • Rishi Bodalia, DC, MS, DACBR, RMSK
  • Jessica Billham, DC, DACBR, RMSK
  • Travis Robinson, DC, MS, DACBR
  • Simone J. Jordan, DC, DACBR
  • Josias Barnes-Jones, DC, MS, DACBR
  • Joshua Wells, DC, DACBR
  • Jonathan Hooker, DC, DACBR
  • Monica Marques, DC, DACBR
  • QUICK ASSIST
    (321) 325-0096