Chondrocalcinosis and CPPD: A Diagnostic Imaging Guide for Chiropractors, Primary Care, and Urgent Care

Overview

Calcium pyrophosphate deposition disease (CPPD) is a common crystal arthropathy caused by deposition of calcium pyrophosphate dihydrate crystals in hyaline cartilage, fibrocartilage, synovium, and periarticular soft tissues. Chondrocalcinosis is the radiographic term describing visible calcification within cartilage and is the most recognizable imaging manifestation of CPPD, though not all patients with CPPD have radiographic chondrocalcinosis and not all chondrocalcinosis is symptomatic CPPD arthritis. CPPD can present as asymptomatic chondrocalcinosis, acute “pseudogout” attacks, chronic inflammatory arthritis mimicking osteoarthritis or rheumatoid arthritis, or atypical presentations such as spinal or tendon involvement.

For chiropractors, primary care providers, and urgent care clinicians, CPPD is highly relevant because it frequently presents as acute or chronic joint pain in older adults and is often first identified on plain radiographs ordered for musculoskeletal complaints. Diagnostic imaging consultants, especially a board‑certified DACBR, can help distinguish CPPD‑related chondrocalcinosis from other causes of intra‑articular calcification and advise on the need for further imaging, synovial fluid analysis, and medical referral. When imaging findings are subtle, atypical, or clinically discordant, a radiology second opinion can be critical for accurate diagnosis and appropriate management.

Chondrocalcinosis and CPPD: A Diagnostic Imaging Guide for Chiropractors, Primary Care, and Urgent Care
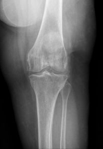
Fig. 1 AP view of the knee.
Chondrocalcinosis and CPPD: Kinetic Radiology
Fig. 2 Annotated image showing marginal osteophytes and meniscal chondrocalcinosis, consistent with CPPD.

Diagnosis:

Calcium pyrophosphate deposition disease (CPPD) involving the knee, characterized by chondrocalcinosis within the menisci and articular cartilage. CPPD results in calcium pyrophosphate crystal deposition that promotes cartilage degeneration and secondary osteoarthritic changes, including marginal osteophyte formation and joint space degeneration.

CPPD is a crystal deposition arthropathy in which calcium pyrophosphate crystals form and accumulate in articular and periarticular tissues, triggering local inflammation and joint damage. The reference standard for diagnosis is identification of positively birefringent, rhomboid‑shaped calcium pyrophosphate crystals in synovial fluid under polarized light microscopy. However, in everyday practice, diagnosis is often presumed when patients with compatible symptoms show characteristic radiological findings of chondrocalcinosis.

Important terminology distinctions:

  • Chondrocalcinosis: Radiographic description of calcification in articular cartilage or fibrocartilage; not synonymous with clinical CPPD disease.

  • CPPD disease: Clinical spectrum of manifestations caused by CPP crystal deposition, including asymptomatic chondrocalcinosis, acute CPP crystal arthritis (“pseudogout”), chronic CPP crystal inflammatory arthritis, and OA‑like CPPD.

CPP crystal deposition is linked to imbalances in extracellular inorganic pyrophosphate metabolism and often associated with aging, joint degeneration, and metabolic conditions such as hyperparathyroidism, hemochromatosis, hypomagnesemia, and hypophosphatasia. In some patients, metabolic workup may reveal a correctable underlying disorder.

CPPD is the third most common inflammatory arthritis after gout and rheumatoid arthritis, with prevalence increasing significantly with age. Radiographic chondrocalcinosis is uncommon before age 50 but may be found in up to 15–20% of individuals over 80, especially in weight‑bearing joints such as the knees. CPPD affects men and women roughly equally, though specific patterns may vary by joint and phenotype.

Established risk factors include:

  • Advanced age

  • Osteoarthritis and prior joint trauma or surgery (e.g., meniscectomy)

  • Metabolic/endocrine disorders: hyperparathyroidism, hemochromatosis, hypomagnesemia, hypophosphatasia, chronic kidney disease

  • Genetic predisposition in some families, particularly with early‑onset or polyarticular disease

For clinicians, identification of CPPD—especially in younger patients (<60) or those with widespread chondrocalcinosis—should prompt consideration of metabolic and genetic evaluation. Diagnostic imaging consultants can flag imaging patterns that suggest secondary causes, supporting targeted laboratory work‑ups.

CPPD has a broad clinical spectrum, which can make it a diagnostic challenge.

Asymptomatic Chondrocalcinosis

Many patients with radiographic chondrocalcinosis are entirely asymptomatic, with calcifications discovered incidentally during imaging for unrelated complaints. These cases do not require specific treatment but may warrant documentation and, in some settings, metabolic screening.

Acute CPP Crystal Arthritis (“Pseudogout”)

The classic symptomatic presentation is acute CPP crystal arthritis, historically termed “pseudogout,” because it resembles gout clinically but involves CPP crystals rather than monosodium urate. Patients present with:

  • Sudden onset of severe joint pain, swelling, warmth, and erythema

  • Often monoarticular or oligoarticular, most commonly involving the knee, wrist, ankle, or shoulder

  • Attacks can be triggered by illness, surgery, trauma, or metabolic shifts

Acute CPP crystal arthritis is self‑limited, typically resolving over days to weeks with appropriate anti‑inflammatory treatment.

Chronic CPPD Arthritis

Chronic CPP crystal inflammatory arthritis may mimic rheumatoid arthritis or osteoarthritis. Features include:

  • Persistent or recurrent joint pain and stiffness

  • Swelling, reduced range of motion, and sometimes inflammatory signs

  • Involvement of knees, wrists, MCP joints, hips, shoulders, and spine

  • Radiographs may show joint space narrowing, osteophytes, subchondral cysts, and chondrocalcinosis—sometimes with more severe degeneration than expected for age

Atypical and Spinal Manifestations

CPPD can also present as:

  • CPPD‑related OA: Osteoarthritis pattern in atypical sites (e.g., radiocarpal or MCP joints) with chondrocalcinosis.

  • Crowned dens syndrome: CPP crystal deposition around the odontoid process causing acute neck pain, stiffness, fever, and elevated inflammatory markers; CT shows calcification around the dens.

  • Tendon and ligament calcification: Involving menisci, triangular fibrocartilage, Achilles tendon, or other periarticular structures.

Patients with neck pain, neurologic symptoms, or atypical calcifications on imaging may benefit from a radiology second opinion by a DACBR to differentiate CPPD from other causes such as DISH, OPLL, or degenerative changes.

Diagnostic imaging is central to recognizing chondrocalcinosis and assessing the extent of CPPD involvement.

Conventional Radiography

Conventional radiography remains the initial imaging test for suspected CPPD and is widely available in chiropractic, primary care, and urgent care settings. Classic radiographic features include:

  • Chondrocalcinosis: Linear or punctate calcifications within hyaline cartilage or fibrocartilage.

    • In hyaline cartilage (e.g., femoral condyles), CPPD appears as thin, linear, or band‑like densities parallel to the articular surface.

    • In fibrocartilage (e.g., menisci, triangular fibrocartilage of the wrist), it appears as irregular, punctate, or linear calcifications following the contour of the fibrocartilage.

  • Joint distribution: Knees, wrists, symphysis pubis, hips, elbows, shoulders, and spine are commonly affected.

  • Associated degenerative changes: Joint space narrowing, osteophytes, subchondral cysts, and sclerosis that may be more severe or in atypical locations compared to primary osteoarthritis.

Radiographs may underestimate CPPD burden—sensitivity for chondrocalcinosis detection in some studies was around 13% compared with 84% for ultrasound in the knee. For chiropractors and front‑line clinicians, identifying chondrocalcinosis on plain films should prompt consideration of CPPD and, when appropriate, consultation with diagnostic imaging consultants or a DACBR for confirmation and guidance on further evaluation.

Ultrasound

Musculoskeletal ultrasound has emerged as a highly sensitive tool for detecting CPPD deposits, particularly in the knees and wrists. Characteristic ultrasound findings include:

  • Thin hyperechoic bands parallel to the articular cartilage surface representing CPP deposits in hyaline cartilage.

  • Hyperechoic foci within fibrocartilage (e.g., menisci) and tendons, with or without posterior acoustic shadowing.

In one study, ultrasound detected chondrocalcinosis in 84.2% of CPPD cases compared with 13.2% for conventional radiography, with 100% specificity when synovial fluid crystal analysis was used as the reference standard. For clinicians working with diagnostic imaging consultants or DACBRs who also provide diagnostic ultrasound, this modality can substantially improve CPPD detection, especially in patients with normal or equivocal radiographs.

CT and Dual‑Energy CT

Conventional CT can depict cartilage and fibrocartilage calcifications with greater detail than radiography and is particularly useful in complex anatomical regions such as the spine and craniocervical junction. CT is the modality of choice for evaluating crowned dens syndrome, clearly demonstrating curvilinear calcifications around the odontoid process.

Dual‑energy CT (DECT), while more established in gout imaging, is being explored for differentiating CPP crystals from other types of calcifications, potentially improving specificity in crystal arthropathies. Currently, DECT remains more of a research and specialty tool than a first‑line test in most clinical settings.

MRI

MRI is less sensitive and specific for detecting CPPD compared to radiography, ultrasound, or CT, but it may reveal associated inflammatory changes and complications. MRI can show joint effusion, synovitis, bone marrow edema, and degenerative changes; CPP deposits may appear as low‑signal foci on all sequences but are not always conspicuous. MRI is useful when clinicians suspect CPPD discitis, spinal involvement, or when alternative diagnoses (e.g., infection, tumor, inflammatory arthropathy) are being considered. Interpretation of subtle CPPD manifestations on MRI is an area where a radiology second opinion from a DACBR or other musculoskeletal imaging specialist can be especially valuable.

The recommended diagnostic strategy for CPPD incorporates clinical evaluation, imaging, and, when possible, synovial fluid analysis.

Key steps:

  1. Clinical assessment: Evaluate pattern of joint involvement, acute vs chronic symptoms, and potential triggers (surgery, illness, trauma).

  2. Initial imaging: Obtain conventional radiographs of symptomatic joints, especially knees and wrists. Look for chondrocalcinosis, joint space narrowing, osteophytes, and atypical OA patterns.

  3. Synovial fluid analysis: When a joint is acutely inflamed, arthrocentesis should be performed to exclude septic arthritis and confirm CPPD by identifying rhomboid, weakly positively birefringent crystals under polarized light microscopy.

  4. Additional imaging: Consider ultrasound to improve detection of cartilage and fibrocartilage calcifications, especially when radiographs are negative but suspicion remains high. Use CT or MRI selectively for atypical locations (cervical spine, axial skeleton) or complications.

  5. Metabolic work‑up: In patients with early‑onset CPPD, widespread chondrocalcinosis, or atypical features, assess for associated conditions such as hyperparathyroidism, hemochromatosis, hypomagnesemia, and hypophosphatasia.

Throughout this process, collaboration with diagnostic imaging consultants can optimize test selection and interpretation. A DACBR providing a radiology second opinion may identify subtle or atypical calcifications, refine the differential diagnosis, and recommend targeted follow‑up imaging.

There is currently no therapy that dissolves CPP crystals, so treatment focuses on controlling inflammation, managing symptoms, and addressing contributing metabolic disorders.

Acute CPP Crystal Arthritis

Management of acute pseudogout attacks typically includes:

  • Joint aspiration to relieve pressure and confirm diagnosis when feasible.

  • Intra‑articular glucocorticoid injection for mono‑ or oligoarticular flares, unless contraindicated.

  • NSAIDs, colchicine, or systemic glucocorticoids for polyarticular flares or when aspiration/injection is not possible.

Acute attacks are usually self‑limited, with symptoms resolving over days to weeks with treatment.

Chronic CPPD Arthritis

Chronic CPPD arthritis is managed with:

  • Low‑dose colchicine in some patients to reduce flare frequency.

  • NSAIDs or other analgesics for ongoing pain.

  • In selected cases, low‑dose corticosteroids or DMARDs (e.g., methotrexate) may be used under rheumatology guidance.

  • Physical therapy and exercise programs to maintain joint mobility and muscle strength, reduce stiffness, and improve function.

Addressing Metabolic Factors

When associated metabolic or endocrine disorders are identified (e.g., hyperparathyroidism, hemochromatosis), treating the underlying condition may reduce CPPD progression and improve overall musculoskeletal health.

For chiropractors and conservative musculoskeletal providers, the emphasis is on:

  • Recognizing CPPD and avoiding misclassification as simple osteoarthritis.

  • Referring appropriately for rheumatology evaluation and metabolic work‑up.

  • Co‑managing mechanical contributors with joint‑sparing strategies, exercise, and soft‑tissue work—not high‑force manipulation of acutely inflamed joints.

Radiology input from a DACBR, particularly via teleradiology services, ensures that chondrocalcinosis and CPPD patterns are accurately recognized, guiding appropriate medical management.

Front‑line clinicians are often the first to encounter CPPD.

Key responsibilities include:

  • Early recognition: Identifying chondrocalcinosis and atypical OA patterns on radiographs, especially in older adults presenting with joint pain.

  • Risk stratification: Recognizing patients who require metabolic work‑up or rheumatology referral.

  • Acute care: In urgent care settings, differentiating acute CPP crystal arthritis from septic arthritis or gout, initiating appropriate anti‑inflammatory therapy, and arranging follow‑up.

  • Conservative management: For chiropractors and primary care clinicians, employing low‑force techniques, exercise, and education while avoiding aggressive manipulation of inflamed or structurally compromised joints.

Because imaging features of chondrocalcinosis and CPPD can be subtle and overlapping with other conditions, collaboration with diagnostic imaging consultants and seeking a radiology second opinion from a DACBR is often the most efficient way to solidify the diagnosis and refine management strategies.

At Kinetic Radiology, our DACBR team provides detailed, timely imaging interpretations designed to help chiropractors and healthcare providers deliver confident, evidence-based care.

Every day, chiropractors face the same frustration: imaging reports that miss what matters. General radiologists weren’t trained in your world; they don’t understand subluxations, joint dysfunction, or the biomechanical findings that drive your treatment decisions.

The result? Delayed care. Uncertain patients. Cases that stall when they should be progressing.

The Kinetic Radiology Difference: Chiropractors Reading for Chiropractors

Our board-certified DACBRs aren’t just radiologists. We’re chiropractors who chose to specialize in musculoskeletal imaging. We speak your language because we’ve stood where you stand.

What This Means for Your Practice:

Reports You Can Act On Immediately – No vague findings. No irrelevant details. Just the specific insights that guide your next adjustment, your treatment plan, and your patient conversations.

Same-Day Turnaround – Your patients don’t want to wait days wondering what’s wrong. Neither should you. Get clarity fast so care never stalls.

Documentation That Protects Your Practice – Whether it’s insurance requirements, legal protection, or patient records, our reports give you the clinical backing you need.

Confidence That Builds Your Reputation – When patients see you consulting with specialized radiologists, they recognize your commitment to excellence. That trust turns into loyalty, referrals, and five-star reviews.

Is Your Current Imaging Reading Costing You Patients?

Think about the last complex case you handled. Did the radiology report actually help you—or did you have to fill in the gaps yourself?

Now imagine having a DACBR partner who catches the subtle findings, flags the red flags, and gives you confidence in every diagnosis.

Start With One Case—See the Difference Yourself

No commitment. No risk. Just submit your next challenging case and experience what specialized chiropractic radiology can do for your clinical confidence and patient outcomes.

Schedule Your Case Consultation

Questions? Call us at 321 325 0096 or email at support@kineticradiology.com

Frequently asked questions

What is chondrocalcinosis and how is it related to CPPD?

Chondrocalcinosis is radiographic cartilage calcification often caused by calcium pyrophosphate deposition disease (CPPD), but not all chondrocalcinosis represents symptomatic CPPD.

Chondrocalcinosis is a descriptive radiology term that refers to visible calcification within hyaline cartilage or fibrocartilage on imaging, most often seen on plain radiographs or CT. The most common cause is calcium pyrophosphate deposition disease (CPPD), in which calcium pyrophosphate dihydrate crystals accumulate in articular and periarticular tissues and may trigger episodes of acute or chronic inflammatory arthritis. However, chondrocalcinosis can be asymptomatic, and some patients never develop clinical CPPD arthritis despite clear cartilage calcification. Conversely, CPPD can occasionally occur without obvious radiographic chondrocalcinosis, especially in early disease or in joints not well visualized on routine films. Diagnostic imaging consultants and DACBRs play a key role in recognizing chondrocalcinosis on X‑ray, differentiating it from other causes of intra‑articular calcification, and advising when clinical correlation or synovial fluid analysis is needed. When the relationship between imaging findings and symptoms is unclear, a radiology second opinion helps clarify whether chondrocalcinosis reflects active CPPD disease, incidental crystal deposition, or another process.

CPP crystals form due to disturbances in inorganic pyrophosphate metabolism, aging, joint degeneration, and associated metabolic or genetic conditions.

Calcium pyrophosphate crystals develop when there is excess inorganic pyrophosphate in the extracellular matrix of cartilage and synovial tissues, which then combines with calcium to form CPPD crystals. Aging and osteoarthritis are major contributors, as cartilage damage and altered chondrocyte function disrupt normal pyrophosphate regulation. Several systemic conditions—such as hyperparathyroidism, hemochromatosis, hypomagnesemia, hypophosphatasia, and chronic kidney disease—also promote CPP crystal formation by altering mineral metabolism or cartilage health. In some families, genetic variants affecting pyrophosphate transport or metabolism lead to early‑onset, polyarticular CPPD. These factors create an environment in which crystals deposit in cartilage, fibrocartilage, and soft tissues, eventually triggering inflammation in some individuals. Diagnostic imaging consultants may suggest metabolic screening when they see widespread or unusually severe chondrocalcinosis, and a DACBR providing a radiology second opinion can help correlate imaging patterns with potential underlying metabolic drivers.

CPPD most commonly affects the knees and wrists but can involve hips, shoulders, elbows, hands, spine, and other fibrocartilaginous structures.

The knees are the most frequently involved site for chondrocalcinosis, with CPP deposits often seen in menisci and hyaline cartilage on radiographs or ultrasound. Wrists are another classic location, where the triangular fibrocartilage complex and radiocarpal joint commonly show calcifications. Other typical sites include the symphysis pubis, hips, shoulders, elbows, ankles, and MCP joints, especially in chronic CPPD arthritis. CPPD can also affect the spine, particularly the cervical region, where calcification around the odontoid process (crowned dens syndrome) may cause acute neck pain and stiffness. Tendons and ligaments, such as the Achilles tendon or other periarticular structures, can demonstrate calcifications as well. Radiology reports from diagnostic imaging consultants and DACBRs frequently emphasize these characteristic sites and distributions, helping clinicians recognize CPPD patterns and differentiate them from degenerative or post‑traumatic calcifications. When unusual joints or atypical patterns are involved, a radiology second opinion is useful to confirm that CPPD is indeed the underlying cause.

CPPD is caused by calcium pyrophosphate crystals and often shows chondrocalcinosis on imaging, whereas gout is caused by monosodium urate crystals and has different crystal and imaging features.

Both CPPD and gout are crystal‑induced arthritides that cause acute inflammatory joint attacks, but they differ in crystal chemistry, risk factors, and imaging appearances. In gout, the culprit is monosodium urate crystals that form in the setting of hyperuricemia and deposit in synovial tissues and tophi; under polarized light microscopy, they appear needle‑shaped and strongly negatively birefringent. In CPPD, the crystals are calcium pyrophosphate dihydrate, rhomboid in shape, and weakly positively birefringent on polarized microscopy. Clinically, both can cause sudden painful joint swelling, but gout classically targets the first MTP joint, while CPPD more often affects knees, wrists, and larger joints. Imaging also differs: CPPD is strongly associated with chondrocalcinosis—linear or punctate cartilage calcification—while gout tends to show erosions with overhanging edges and tophaceous deposits without cartilage calcification. Dual‑energy CT can help distinguish urate from calcium‑containing crystals when needed. When the clinical picture is ambiguous, diagnostic imaging consultants and DACBRs can interpret subtle imaging differences and recommend synovial fluid analysis to definitively differentiate gout from CPPD, and a radiology second opinion can be especially helpful in complex or overlapping presentations.

CPPD is diagnosed through clinical assessment, imaging evidence of chondrocalcinosis, and ideally synovial fluid analysis confirming CPP crystals.

Diagnosis of CPPD begins with a detailed clinical evaluation, including joint distribution, acute vs chronic symptoms, and history of metabolic diseases or prior joint surgery. Conventional radiography is typically the first imaging modality; radiographs may reveal chondrocalcinosis in hyaline cartilage and fibrocartilage, along with degenerative changes such as joint space narrowing and osteophytes. Ultrasound improves sensitivity for detecting CPP deposits and can demonstrate hyperechoic bands within cartilage or fibrocartilage. The definitive diagnostic standard remains synovial fluid analysis: arthrocentesis with polarized light microscopy showing rhomboid, weakly positively birefringent CPP crystals confirms CPPD. Laboratory evaluation may include screening for associated metabolic disorders like hyperparathyroidism, hemochromatosis, and hypomagnesemia. In clinical practice, many cases are diagnosed based on typical radiographic chondrocalcinosis in a compatible clinical context, particularly in older adults with acute or chronic arthritis. When imaging findings are subtle or there is concern for alternative diagnoses (e.g., gout, septic arthritis, or degenerative changes alone), clinicians often rely on diagnostic imaging consultants or a DACBR for a radiology second opinion to refine the diagnosis and guide further testing.

Treatment for CPPD focuses on controlling inflammation, relieving pain, preventing flares, and managing associated metabolic conditions rather than removing crystals.

Unlike some metabolic conditions, there is currently no proven therapy that dissolves CPP crystals or eliminates chondrocalcinosis, so management targets symptom control and complication prevention. For acute CPP crystal arthritis (“pseudogout”), first‑line options include joint aspiration and intra‑articular corticosteroid injection for one or two joints, or systemic NSAIDs, colchicine, or oral corticosteroids when multiple joints are involved or injection is not feasible. Acute attacks are generally self‑limited but can be quite painful; prompt treatment shortens attack duration and restores function faster. For chronic CPPD arthritis, strategies include low‑dose colchicine to reduce flare frequency, NSAIDs and analgesics for persistent pain, and in select cases low‑dose glucocorticoids or DMARDs under rheumatology supervision. Physical therapy and structured exercise programs support joint mobility and strength. Addressing underlying metabolic conditions (e.g., correcting hypomagnesemia or treating hyperparathyroidism) can reduce progression and improve overall musculoskeletal health. Chiropractors and primary care providers contribute by coordinating care, implementing non‑pharmacologic management, and avoiding high‑force manipulation of acutely inflamed joints. Imaging follow‑up interpreted by diagnostic imaging consultants or DACBRs helps monitor structural changes, and a radiology second opinion can identify complications like rapidly progressive degeneration that may require escalation of care.

No—chondrocalcinosis is often asymptomatic, and many patients with cartilage calcification never develop pain or clinical CPPD arthritis.

Chondrocalcinosis by itself is simply a radiographic finding and does not always correlate with symptoms. Many older adults with chondrocalcinosis on X‑ray or CT have no joint pain, swelling, or stiffness attributable to CPPD and may only discover the calcification incidentally during imaging for unrelated reasons. Symptomatic CPPD occurs when CPP crystals trigger an inflammatory response in the joint, producing acute pseudogout attacks or chronic arthritis; this inflammatory phase may come and go, while the calcifications remain visible on imaging. Pain in a joint with chondrocalcinosis can also be due to coexisting osteoarthritis, mechanical overload, or other pathology rather than active crystal inflammation. Diagnostic imaging consultants and DACBRs can describe the pattern and extent of chondrocalcinosis and associated degenerative changes, but correlation with clinical findings and, when necessary, synovial fluid analysis determines whether CPPD is the primary pain generator. In ambiguous cases—especially when imaging looks dramatic but symptoms are mild or vice versa—a radiology second opinion can help avoid over‑ or under‑attributing symptoms to chondrocalcinosis.

Yes—particularly in younger patients or those with widespread chondrocalcinosis, evaluation for metabolic and endocrine disorders is recommended.

CPPD in older adults with isolated knee or wrist involvement may simply reflect age‑related cartilage changes and osteoarthritis, but in patients under 60 or those with polyarticular chondrocalcinosis, clinicians should consider a broader work‑up. Several systemic conditions—such as primary hyperparathyroidism, hemochromatosis, hypomagnesemia, hypophosphatasia, hypothyroidism, and chronic kidney disease—are associated with increased risk of CPP crystal deposition. Laboratory evaluation may include serum calcium, phosphorus, magnesium, alkaline phosphatase, ferritin/iron studies, parathyroid hormone, and renal function tests. Detecting and treating these underlying disorders can improve overall health, help prevent additional joint damage, and reduce complications. Radiology reports that note extensive or atypically distributed chondrocalcinosis often recommend metabolic evaluation, and diagnostic imaging consultants or DACBRs are well positioned to highlight imaging patterns suggestive of secondary causes. A radiology second opinion can be especially helpful when initial imaging reports do not comment on the extent of chondrocalcinosis or its potential systemic implications.

Chiropractors and conservative providers help recognize CPPD on imaging, coordinate medical evaluation, and provide joint‑sparing rehabilitation while avoiding high‑force manipulation of inflamed joints.

For many patients, chiropractors, primary care clinicians, and urgent care providers are the first point of contact when CPPD presents as joint pain or acute arthritis. These clinicians frequently order or review radiographs where chondrocalcinosis is first detected. Recognizing cartilage calcification and atypical osteoarthritis patterns alerts them to possible CPPD and the need for rheumatology referral or synovial fluid analysis. In acute pseudogout attacks, conservative providers can help differentiate CPPD from septic arthritis or gout, initiate appropriate anti‑inflammatory therapy, and ensure timely follow‑up. For chronic CPPD arthritis, chiropractors and physical medicine providers play a key role in joint‑sparing care—emphasizing therapeutic exercise, soft‑tissue techniques, and activity modification while avoiding high‑velocity thrust manipulation to acutely inflamed or structurally compromised joints. They can also reinforce metabolic work‑up recommendations and coordinate care with rheumatology and primary care. Access to diagnostic imaging consultants and DACBRs through teleradiology allows chiropractors and front‑line clinicians to obtain expert interpretation of chondrocalcinosis and CPPD patterns, and a radiology second opinion can refine management decisions in complex or borderline cases.

A radiology second opinion is warranted when chondrocalcinosis is subtle, atypical, extensive, or when clinical symptoms seem disproportionate to the initial imaging report.

CPPD and chondrocalcinosis can present with subtle or complex imaging findings that are easy to miss or misinterpret, especially on routine radiographs in busy clinical settings. A radiology second opinion from a DACBR or other musculoskeletal imaging specialist is particularly valuable in several scenarios: when suspected CPPD is not clearly reported despite cartilage calcifications; when chondrocalcinosis appears in unusual locations (e.g., cervical spine, MCP joints) or is extensive enough to raise concern for underlying metabolic disease; when there is a discrepancy between clinical severity and the apparent imaging findings; and when alternative diagnoses such as gout, septic arthritis, tumor, or degenerative calcifications need to be excluded. Diagnostic imaging consultants can also advise on the most appropriate next studies—such as ultrasound for improved detection, CT for crowned dens syndrome, or MRI for suspected CPPD discitis—so imaging pathways are efficient and cost‑effective. For chiropractors, primary care, and urgent care clinicians, partnering with a DACBR via teleradiology provides ready access to this level of expertise, improving diagnostic accuracy and guiding appropriate referral and treatment decisions for patients with chondrocalcinosis and CPPD.

Partnering with a DACBR teleradiology service provides more than just a second opinion; it offers a significant return on investment:

  • Speed: Get expert reports in hours, not days.

  • Expertise: Access board-certified specialists without having to hire them.

  • Convenience: The entire process is handled online from your office.

  • Clarity: Receive clear, concise reports that are clinically relevant to chiropractic care, not generic medical reports.

Client REVIEWS