Skip to content
  • QUICK ASSIST (321) 325-0096
  • SUPPORT@KINETICRADIOLOGY.COM
Facebook Twitter Instagram Youtube
  • RADIOLOGY SERVICES

    Diagnostic Imaging Interpretation

    X-RAYS | MRI | CBCT | CT SCANS | ULTRASOUND

    Expert image study and comprehensive report related to the musculoskeletal system by our Diagnostic Imaging Consultants. Fast, easy, smart, and secure!
    Chiropractors
    Medical Providers
    Patient Direct Services
    Get Started Now!
    Frequently Asked Questions
    • QUICK ASSIST
      (321) 325-0096

    Second
    Opinions

    Second opinions are a common practice that adds an additional layer of expertise for difficult or unclear cases.

    X-RAYS | MRI | CBCT | CT SCANS | ULTRASOUND

    Learn More

    Other Professional
    Services

    • STAT Reads
    • AOMSI Reads
      • PACS Backup
      • Educational Seminars

    X-RAYS | MRI | CBCT | CT SCANS | ULTRASOUND

    Learn More
    Get Started
  • MEET OUR EXPERTS

    Rishi Bodalia

    DC, MS, DACBR, RMSK

    Learn More

    Jessica Billham

    DC, DACBR, RMSK

    Diagnostic Imaging Consultants - Jessica Billham - DACBAR
    Learn More

    Joshua Wells

    DC, DACBR

    Learn More

    Travis Robinson

    DC, MS, DACBR

    Learn More

    Simone J. Jordan

    DC, DACBR

    Learn More

    WE ARE GROWING

    Interested in joining a dynamic group of Radiologists blazing new trails?

    CLICK HERE
    View All
  • RESOURCES

    Helpful Resources

    Get Started Now!
    For Radiologists
    Chiropractors
    Medical Providers
    Request Sample Reports
    Learning Resource Center
    Frequently Asked Questions

    News & Posts

    DACBRs Diagnose a Chronic Clavicle Fracture

    DACBRs Diagnose a Chronic Clavicle Fracture

    December 19, 2025
    Read More »
    Compression Fracture: Radiology for Chiropractors, Imaging Centers, and Legal Teams

    Compression Fracture: Radiology for Chiropractors, Imaging Centers, and Legal Teams

    December 5, 2025
    Read More »
    Ankle Sprain Needs a Second Look from Your DACBR or Diagnostic Imaging Consultant

    Ankle Sprain Needs a Second Look from Your DACBR (Diagnostic Imaging Consultant)

    November 23, 2025
    Read More »

    Chiropractor Radiology Reports on Osteochondromatosis: A Comprehensive Guide for Healthcare Providers

    November 11, 2025
    Read More »
    View More
    UPLOAD images and files
  • ABOUT US
  • CONTACT
  • QUICK ASSIST (321) 325-0096
  • SUPPORT@KINETICRADIOLOGY.COM

News & Articles

DACBRs Diagnose a Chronic Clavicle Fracture

DACBRs Diagnose a Chronic Clavicle Fracture

DACBRs Diagnose a Chronic Clavicle Fracture Fig. 1 AP cervical view Fig. 2 AP cervical view showing red annotation highlights

Read More
Compression Fracture: Radiology for Chiropractors, Imaging Centers, and Legal Teams

Compression Fracture: Radiology for Chiropractors, Imaging Centers, and Legal Teams

Compression Fracture: Radiology for Chiropractors, Imaging Centers, and Legal Teams Introduction A 64-year-old woman presents with acute lower back pain

Read More
Ankle Sprain Needs a Second Look from Your DACBR or Diagnostic Imaging Consultant

Ankle Sprain Needs a Second Look from Your DACBR (Diagnostic Imaging Consultant)

Ankle Sprain Needs a Second Look from Your DACBR or Diagnostic Imaging Consultant Introduction That “simple ankle sprain” might be

Read More

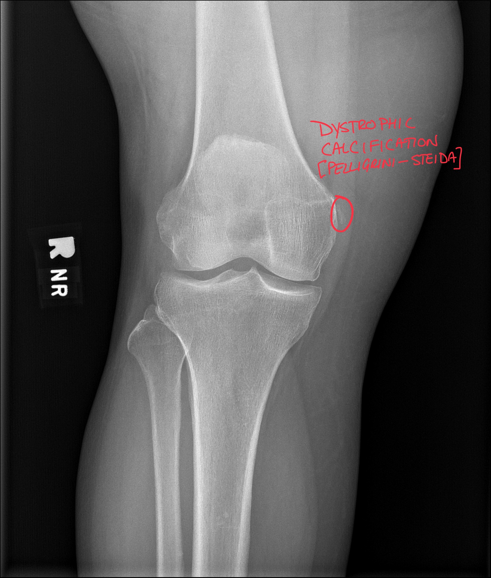
Chiropractor Radiology Reports on Osteochondromatosis: A Comprehensive Guide for Healthcare Providers

Osteochondromatosis: A Comprehensive Guide for Healthcare Providers Clinical History A 47-year-old male presents with chronic posterior knee pain that has

Read More
Bone Infarctions: A Comprehensive Guide to Diagnosis and Differential Considerations

Radiology Reports on Bone Infarctions: A Comprehensive Guide to Diagnosis and Differential Considerations

Bone Infarctions: A Comprehensive Guide to Diagnosis and Differential Considerations Clinical History A 34-year-old male presents to the clinic with

Read More
Charcot arthropathy: Professional Imaging Consultants Guide to Joint Destruction

Charcot arthropathy: Professional Imaging Consultants Guide to Joint Destruction

Charcot arthropathy: Professional Imaging Consultants Guide to Joint Destruction Clinical History Is that “hot, swollen ankle” in your diabetic patient

Read More
Load More

Join Our Newsletter

Kinetic Radiology

(321) 325-0096
support@kineticradiology.com

Service Areas

We service all 50 U.S. States, including the following States and Cities listed below.

Florida

  • Miami
  • Tampa
  • Orlando
  • Fort Lauderdale
  • Jacksonville
  • Daytona Beach
  • St. Petersburg

Illinois

  • Aurora
  • Chicago
  • Naperville
  • Springfield

Michigan

  • Warren
  • Detroit
  • Grand Rapids

New York

  • Buffalo
  • New York City
  • Syracuse
  • Rochester

Copyright 2024 Kinetic Radiology All Rights Reserved

Website Privacy | Terms of Use

Newsletter Opt-In

Receive timely resources to keep you and your practice on the cutting edge of Chiropractic Radiology.

Radiology Services

  • Diagnostic Imaging Services
  • Second Opinions
  • Educational Seminars
  • STAT Reads
  • AOMSI Reads
  • PACS Backup

Resources

  • Request Sample Reports
  • For Radiologists
  • Chiropractors
  • Medical Providers
  • Frequently Asked Questions
  • News & Posts

Radiologists

  • Rishi Bodalia, DC, MS, DACBR, RMSK
  • Jessica Billham, DC, DACBR, RMSK
  • Travis Robinson, DC, MS, DACBR
  • Simone J. Jordan, DC, DACBR
  • QUICK ASSIST
    (321) 325-0096

Kinetic Radiology

(321) 325-0096
support@kineticradiology.com

Service Areas

  • Miami
  • Tampa
  • Palm Beach
  • Chicago
  • Atlanta
  • Pensacola

Copyright 2024 Kinetic Radiology
All Rights Reserved

Website Privacy | Terms of Use

Newsletter Opt-In

Receive timely resources to keep you and your practice on the cutting edge of Chiropractic Radiology.

Radiology Services

  • Diagnostic Imaging Services
  • Second Opinions
  • Educational Seminars
  • STAT Reads
  • AOMSI Reads
  • PACS Backup

Resources

  • Request Sample Reports
  • For Radiologists
  • Chiropractors
  • Medical Providers
  • Frequently Asked Questions
  • News & Posts

Radiologists

  • Rishi Bodalia, DC, MS, DACBR, RMSK
  • Jessica Billham, DC, DACBR, RMSK
  • Travis Robinson, DC, MS, DACBR
  • Simone J. Jordan, DC, DACBR
  • Josias Barnes-Jones, DC, MS, DACBR
  • Joshua Wells, DC, DACBR
  • Jonathan Hooker, DC, DACBR
  • Monica Marques, DC, DACBR
  • QUICK ASSIST
    (321) 325-0096