Bone Infarctions: A Comprehensive Guide to Diagnosis and Differential Considerations

Clinical History

A 34-year-old male presents to the clinic with persistent knee pain that has been progressively worsening over the past three months. The patient describes the pain as deep, aching, and poorly localized, with intensity ranging from moderate to severe. He reports that the discomfort is present at rest but significantly worsens with weight-bearing activities and exercise. The patient has a documented history of sickle cell disease (hemoglobin SS), diagnosed in childhood, with multiple previous pain crises requiring hospitalization. His medical history includes several episodes of acute chest syndrome and chronic anemia managed with hydroxyurea therapy and folic acid supplementation.

On physical examination, the patient demonstrates point tenderness over the distal femoral metaphysis and proximal tibial region. Range of motion testing reveals mild restriction due to pain, though no significant effusion is noted. The patient walks with an antalgic gait favoring the affected limb. Neurovascular examination is intact with normal pulses and sensation. Given his history of sickle cell disease and the clinical presentation, advanced imaging was ordered to evaluate for potential avascular necrosis or bone infarction.

 
 
Bone Infarctions: A Comprehensive Guide to Diagnosis and Differential Considerations
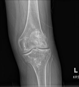
Fig. 1 AP view of the knee
Bone Infarctions: A Comprehensive Guide to Diagnosis and Differential Considerations
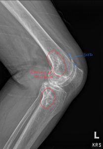
Fig. 2 Lateral view of the knee
Bone Infarctions: A Comprehensive Guide to Diagnosis and Differential Considerations
Fig. 3 Annotated xray of the knee shows regions of sclerosis (outlined in red) involving the distal femur, proximal tibia, and fibular head.
Bone Infarctions: A Comprehensive Guide to Diagnosis and Differential Considerations
Fig. 4 Annotated xray of the knee showing signs of degenerative joint disease (DJD) and regions of sclerosis.

Diagnosis: Bone Infarctions Secondary to Sickle Cell Disease

Following comprehensive radiographic and MRI evaluation, the patient was diagnosed with multiple bone infarctions in the distal femur and proximal tibia, consistent with complications of sickle cell disease. The radiology report documented characteristic serpiginous calcifications within the medullary cavity on plain radiographs, along with geographic areas of altered signal intensity on MRI sequences. These findings demonstrated the classic “double line sign” on T2-weighted images, pathognomonic for bone infarction. No evidence of acute osteomyelitis or malignant transformation was identified on imaging studies.

The diagnosis of bone infarction secondary to sickle cell disease was established based on the constellation of clinical history, laboratory values showing chronic hemolytic anemia, and imaging findings characteristic of medullary ischemic necrosis. This case highlights the importance of obtaining detailed radiology reports and, when necessary, seeking a second opinion from specialists with advanced credentials such as DACBR to ensure accurate interpretation of complex osseous pathology.

 
 
 
 

Condition Overview

Bone infarction, also termed medullary bone infarction or bone marrow infarction, represents localized ischemic necrosis of bone marrow and trabecular bone within the medullary cavity. This condition differs from osteonecrosis (avascular necrosis), which primarily affects the subchondral bone and articular surface, though the two conditions exist on a spectrum of ischemic bone disease.

Key Characteristics of Bone Infarction

Location: Bone infarctions predominantly occur in the diaphysis (shaft) and metaphysis (flared region near the joint) of long bones, particularly the femur, tibia, and humerus. They remain within the medullary cavity and typically spare the subchondral bone and articular cartilage.

Pathophysiology: The condition results from interruption of the medullary blood supply, leading to ischemic death of bone marrow elements and trabecular bone. As healing occurs, the infarcted tissue undergoes calcification, fibrosis, and eventual ossification, creating the characteristic radiographic appearance.

Clinical Significance: While some bone infarctions remain asymptomatic and are discovered incidentally, others cause significant pain and functional impairment. Chronic bone infarctions may lead to complications including pathologic fractures, malignant transformation (rare), and secondary osteoarthritis if located near joints.

Prevalence: Bone infarctions are most commonly associated with hemoglobinopathies (sickle cell disease, thalassemia), corticosteroid use, alcohol abuse, dysbaric conditions (caisson disease), and various other systemic conditions affecting bone vascularity.

For healthcare providers managing patients with suspected bone infarction, consultation with Diagnostic Imaging Consultants specializing in chiropractic radiology ensures comprehensive evaluation of both the primary findings and potential complications. These specialists provide detailed analysis that guides appropriate treatment strategies and monitoring protocols.

 

 
 

Anatomy and Function

Bone Vascular Anatomy

Understanding bone infarction requires knowledge of osseous vascular supply. Long bones receive blood through several sources:

Vascular Structure

Location

Function

Vulnerability

Nutrient Artery

Enters through nutrient foramen in diaphysis

Primary blood supply to medullary cavity

Susceptible to thrombosis and embolic events

Metaphyseal Arteries

Penetrate metaphyseal cortex

Supply metaphyseal region and growth plate

Vulnerable in sickle cell vaso-occlusive crises

Epiphyseal Arteries

Enter epiphysis

Nourish subchondral bone and articular cartilage

Primary site affected in osteonecrosis

Periosteal Arteries

Outer cortical surface

Supply outer third of cortex

Generally preserved in bone infarction

Pathophysiological Mechanisms

Vascular Occlusion: The initiating event in bone infarction is interruption of medullary blood flow. In sickle cell disease, abnormal hemoglobin polymerization causes red blood cells to assume a rigid, sickle shape. These deformed cells occlude small vessels within the bone marrow, creating areas of ischemia. The relatively slow blood flow and low oxygen tension in the medullary sinusoids make these vessels particularly susceptible to sickling and vascular occlusion.

Ischemic Cascade: Once blood flow is interrupted, bone marrow cells and trabecular osteocytes undergo hypoxic injury and cell death. The ischemic zone develops a central area of complete necrosis surrounded by a border zone of reversibly injured tissue. If blood flow is not restored, the entire region progresses to irreversible necrosis.

Healing Response: Following the acute ischemic event, the body initiates a repair process. Viable tissue at the periphery of the infarct attempts to revascularize the necrotic zone. Dead marrow is gradually replaced by granulation tissue, which subsequently undergoes fibrosis. Calcium salts deposit within the necrotic tissue, creating the characteristic calcifications visible on radiographs. Eventually, the infarcted region may undergo ossification, converting to dense, avascular bone.

Complications: Chronic bone infarctions may weaken bone structure, predisposing to pathologic fractures. Rarely (less than 1% of cases), malignant transformation to sarcoma can occur years or decades after the initial infarction, typically manifesting as osteosarcoma, malignant fibrous histiocytoma, or fibrosarcoma.

Distribution Patterns

Bone infarctions in sickle cell disease typically demonstrate a multifocal distribution, affecting multiple bones simultaneously or sequentially. The distal femur and proximal tibia are most commonly involved, followed by the humerus, fibula, and small bones of the hands and feet. This distribution pattern reflects the anatomic locations with the highest concentration of red marrow and sluggish blood flow.

 
 

Clinical Presentations

The clinical presentation of bone infarction varies considerably depending on the acuity, extent, size, and location of the ischemic event.

Symptom Spectrum

Presentation

Characteristics

Duration

Associated Findings

Acute Pain Crisis

Severe, sudden onset pain; poorly localized

Days to weeks

Fever, elevated inflammatory markers, leukocytosis

Subacute Pain

Moderate, gradually developing discomfort

Weeks to months

Mild functional limitation, antalgic gait

Chronic Pain

Dull, aching pain; activity-related

Months to years

Progressive functional decline, compensatory patterns

Asymptomatic

No pain; incidental finding

N/A

Discovered on imaging for other reasons

Physical Examination Findings

Patients with symptomatic bone infarction typically demonstrate:

Local Tenderness: Point tenderness over the affected bone, particularly the metaphyseal regions of long bones. Palpation may reveal warmth and soft tissue swelling in acute cases.

Reduced Range of Motion: If the infarction is located near a joint, patients may exhibit restricted range of motion due to pain or secondary joint stiffness.

Antalgic Gait: Lower extremity involvement often produces a characteristic limping gait pattern where the patient minimizes weight-bearing time on the affected limb.

Muscle Atrophy: Chronic cases may show visible muscle wasting in the affected extremity due to prolonged disuse and pain-related inhibition.

Absence of Inflammatory Signs: Unlike osteomyelitis, bone infarction typically does not produce dramatic erythema, warmth, or fluctuance, though mild soft tissue swelling may be present.

Diagnostic Imaging Characteristics

Imaging plays a crucial role in diagnosing bone infarction and differentiating it from other conditions. Working with Diagnostic Imaging Consultants who possess DACBR credentials ensures comprehensive evaluation of subtle findings that may influence diagnosis and management.

Imaging Modality Comparison

Modality

Acute Findings

Chronic Findings

Advantages

Limitations

Plain Radiography

Often normal initially

Serpiginous calcifications, “smoke-like” densities

Widely available, cost-effective

Low sensitivity in early stages

MRI

Edema, geographic signal changes, double line sign

Low signal areas with peripheral enhancement

High sensitivity, excellent soft tissue detail

Expensive, time-consuming

CT

Subtle density changes

Calcifications, ossification, cortical changes

Superior bone detail

Radiation exposure, limited soft tissue contrast

Bone Scan

Decreased uptake (cold spot) acutely

Variable uptake patterns

High sensitivity for metabolic activity

Poor specificity, radiation exposure

Radiographic Features: Chronic bone infarctions demonstrate characteristic serpentine or geographic calcifications within the medullary cavity. These calcifications outline the margin between viable and necrotic bone, creating patterns described as “smoke-like,” “lace-like,” or following the contours of the medullary cavity. The cortex typically remains intact unless complications such as pathologic fracture have occurred.

MRI Findings: MRI represents the most sensitive imaging modality for detecting bone infarction. Acute infarctions show diffuse marrow edema pattern on fluid-sensitive sequences. The pathognomonic “double line sign” appears on T2-weighted images, consisting of an inner hypointense line representing sclerotic bone and an outer hyperintense line representing granulation tissue at the interface between viable and necrotic tissue.

A comprehensive radiology report will document the location, extent, age (acute versus chronic), and presence of any complications. This detailed documentation proves essential for treatment planning and longitudinal monitoring.

 
 

Accurate diagnosis requires careful consideration of conditions that may mimic bone infarction radiographically or clinically. Additionally, understanding the diverse etiologies of bone infarction is essential for appropriate management and preventing future occurrences.

Primary Etiologies of Bone Infarction

Major Causes of Bone Infarction

Etiology

Mechanism

Population Affected

Key Features

Sickle Cell Disease

RBC sickling causing vascular occlusion

Primarily African descent

Most common cause; multifocal involvement

Corticosteroid Use

Lipid emboli, marrow fat hypertrophy

Any patient on chronic steroids

Dose and duration dependent

Alcohol Abuse

Fat emboli, coagulopathy

Chronic heavy drinkers

Often bilateral, symmetric

Dysbaric Disease (Caisson Disease)

Nitrogen bubble formation

Divers, tunnel workers

Related to rapid decompression

Gaucher Disease

Marrow infiltration by lipid-laden cells

Ashkenazi Jewish heritage

Erlenmeyer flask deformity

Pancreatitis

Fat emboli from necrotic pancreas

Acute or chronic pancreatitis patients

Associated with lipase elevation

Systemic Lupus Erythematosus

Vasculitis, antiphospholipid antibodies

Young to middle-aged women

Part of multisystem disease

Radiation Therapy

Direct vascular endothelial damage

Cancer patients

Limited to radiation field

Trauma

Direct vascular injury or fat emboli

Post-fracture patients

Usually adjacent to injury site

Hyperlipidemia

Fat emboli

Patients with metabolic syndrome

Associated with atherosclerotic disease

Sickle Cell Disease and Hemoglobinopathies

Sickle cell disease represents the most common cause of bone infarction worldwide. The abnormal hemoglobin S polymerizes under hypoxic conditions, causing red blood cells to become rigid and sickle-shaped. These deformed cells occlude small vessels throughout the body, with the bone marrow being particularly vulnerable.

Key Clinical Features:

  • Multiple, recurrent bone infarctions throughout life
  • Association with pain crises (vaso-occlusive episodes)
  • Multifocal involvement of axial and appendicular skeleton
  • Risk increases with hemoglobin SS genotype compared to SC or S-beta thalassemia
  • Often accompanied by other sickle cell complications (stroke, acute chest syndrome, splenic sequestration)

Other hemoglobinopathies, including thalassemia major and sickle-thalassemia, can also cause bone infarctions, though less frequently than sickle cell disease.

Corticosteroid-Induced Bone Infarction

Corticosteroid use represents the second most common cause of bone infarction in developed countries. The risk increases with higher doses and prolonged duration of therapy.

Pathophysiologic Mechanisms:

  • Hypertrophy of marrow fat cells causing increased intraosseous pressure
  • Fat emboli from enlarged adipocytes
  • Direct toxic effects on osteocytes and endothelial cells
  • Altered lipid metabolism with elevated serum lipids

Risk Factors:

  • Daily dose greater than 20mg prednisone equivalent
  • Cumulative doses exceeding 2 grams
  • Rapid dose escalation
  • Concurrent alcohol use or hypercoagulable states

Conditions commonly requiring long-term corticosteroid therapy include systemic lupus erythematosus, rheumatoid arthritis, inflammatory bowel disease, organ transplantation, and asthma.

Alcohol-Related Bone Infarction

Chronic alcohol abuse significantly increases the risk of bone infarction through multiple mechanisms including fat emboli, direct toxic effects on bone cells, altered lipid metabolism, coagulopathy, and nutritional deficiencies affecting bone health.

Clinical Patterns:

  • Often bilateral and symmetric involvement
  • Typically affects femoral and humeral heads (osteonecrosis) and diaphyseal regions (bone infarction)
  • May occur with relatively moderate alcohol consumption in susceptible individuals
  • Risk correlates with cumulative alcohol exposure

Dysbaric Osteonecrosis (Caisson Disease)

Decompression sickness affects individuals exposed to rapid decreases in ambient pressure, particularly commercial divers, tunnel workers, and caisson workers. Nitrogen bubbles form in blood and tissues during rapid ascent or decompression, causing vascular occlusion.

Characteristic Features:

  • Affects shoulders and hips more commonly than other sites
  • Develops months to years after exposure
  • May remain asymptomatic until late stages
  • Prevented by proper decompression protocols

Gaucher Disease

This autosomal recessive lysosomal storage disorder results from deficiency of glucocerebrosidase enzyme, leading to accumulation of lipid-laden macrophages (Gaucher cells) in bone marrow and other organs.

Skeletal Manifestations:

  • Marrow infiltration causing increased intramedullary pressure
  • Multiple bone infarctions and osteonecrosis
  • Characteristic “Erlenmeyer flask” deformity of distal femur
  • Pathologic fractures
  • Bone crises mimicking osteomyelitis

Pancreatitis-Associated Bone Infarction

Acute pancreatitis can cause bone infarctions through release of fat emboli from necrotic pancreatic tissue and enzymes. This represents a rare but recognized complication.

Associated Features:

  • Typically occurs during or shortly after acute pancreatitis episode
  • Multiple skeletal sites may be affected simultaneously
  • Elevated serum lipase and amylase
  • Fat necrosis may also affect subcutaneous tissues

Collagen Vascular Diseases

Systemic lupus erythematosus (SLE), antiphospholipid syndrome, and other autoimmune conditions increase bone infarction risk through vasculitis, hypercoagulability, antiphospholipid antibodies causing thrombosis, and corticosteroid therapy used for disease management.

Additional Etiologies

Radiation Therapy: Ionizing radiation damages vascular endothelium and bone marrow cells within the treatment field, potentially causing bone infarction months to years later.

Pregnancy: Rare cases of bone infarction during pregnancy or postpartum period, possibly related to hypercoagulable state and hemodynamic changes.

Idiopathic: In approximately 20 to 25% of cases, no clear etiology is identified despite thorough investigation.

 
 

Accurate diagnosis requires differentiating bone infarction from other conditions with similar clinical or radiographic presentations.

Comprehensive Differential Diagnosis Table

Condition

Clinical Features

Imaging Characteristics

Age Group

Key Distinguishing Features

Bone Infarction

Deep bone pain, history of risk factors

Serpiginous medullary calcifications, double line sign

Variable based on etiology

Medullary location, spares subchondral bone

Osteomyelitis

Fever, warmth, acute pain

Periosteal reaction, cortical destruction, soft tissue changes

Any age

Systemic signs, elevated WBC, positive cultures

Primary Bone Tumors

Progressive pain, mass, pathologic fracture

Destructive lesion, soft tissue mass, periosteal reaction

Variable by tumor type

Aggressive features, progressive growth

Bone Metastases

Known primary cancer, multiple lesions

Lytic or blastic lesions, cortical destruction

50+ typically

History of malignancy, multiple sites

Enchondroma

Often asymptomatic, incidental finding

Lobulated cartilage matrix, ring and arc calcifications

20 to 40

Cartilage matrix, well-defined margins

Fibrous Dysplasia

Pathologic fracture, deformity, pain

Ground glass matrix, expansile, well-defined

Childhood to young adult

Ground glass appearance, expansile growth

Paget Disease

Bone pain, deformity, increased hat size

Cortical thickening, trabecular coarsening, mixed lytic/blastic

55+

Dramatic bone enlargement, elevated alkaline phosphatase

Chronic Osteomyelitis

Draining sinus, recurrent infections

Sequestrum, involucrum, sinus tracts

Any age following acute OM

Sequestrum formation, clinical infection

Osteopetrosis

Pathologic fractures, dense bones

Diffuse increased density, bone-in-bone appearance

Childhood or adult forms

Generalized increased density, multiple bones

Detailed Differential Considerations

Osteomyelitis

Osteomyelitis represents the most critical differential diagnosis requiring urgent differentiation from bone infarction, particularly in sickle cell patients who have increased susceptibility to Salmonella and Staphylococcus infections.

Distinguishing Features:

Feature

Bone Infarction

Osteomyelitis

Onset

Gradual or episodic

Acute, rapid progression

Fever

Absent or low-grade

High fever common

Laboratory

Normal or mild elevation

Markedly elevated WBC, ESR, CRP

Blood Cultures

Negative

May be positive

Imaging Timeline

Changes develop over weeks

Rapid changes over days

MRI Enhancement

Peripheral rim enhancement

Diffuse marrow and soft tissue enhancement

Clinical Response

Gradual improvement

Worsens without antibiotics

In sickle cell patients experiencing bone pain, differentiating between vaso-occlusive crisis with bone infarction versus acute osteomyelitis can be extremely challenging. When uncertainty exists, consulting with Diagnostic Imaging Consultants who hold DACBR credentials provides expert interpretation that may reveal subtle imaging clues favoring one diagnosis over the other.

Primary Bone Tumors

Several benign and malignant primary bone tumors may produce imaging findings potentially confused with bone infarction.

Enchondroma: This benign cartilage tumor typically occurs in the medullary cavity of short tubular bones (hands and feet) or long bones. Unlike bone infarction, enchondromas demonstrate ring and arc calcifications representing cartilage matrix rather than serpentine calcifications at the infarct margin.

Bone Sarcomas: Primary malignant tumors including osteosarcoma, chondrosarcoma, and Ewing sarcoma can rarely arise within chronic bone infarcts (secondary malignancy) or may be confused with infarction initially. Concerning features include progressive pain, rapid growth, soft tissue mass, aggressive periosteal reaction (Codman triangle, sunburst pattern), and cortical destruction. Any suspicious features warrant prompt biopsy and oncologic evaluation.

Giant Cell Tumor: These benign but locally aggressive tumors occur in the epiphysis extending to the subchondral bone, with a predilection for the distal femur and proximal tibia around the knee. They present as lytic, expansile lesions rather than calcified medullary densities.

Bone Metastases

Metastatic disease from primary cancers (breast, lung, prostate, kidney, thyroid) commonly affects the skeleton. Multiple lesions, known primary malignancy, age over 50 years, lytic or blastic pattern (rather than serpiginous calcification), and rapid progression help distinguish metastases from bone infarction.

Fibrous Dysplasia

This benign fibro-osseous lesion replaces normal bone with fibrous tissue and woven bone, creating a characteristic “ground glass” matrix on imaging. Unlike bone infarction, fibrous dysplasia typically causes bone expansion, has a predilection for the proximal femur and ribs, and may be associated with McCune-Albright syndrome (polyostotic disease, café-au-lait spots, endocrine abnormalities).

Paget Disease of Bone

Paget disease involves excessive bone remodeling with accelerated bone turnover. Distinguished from bone infarction by cortical thickening, trabecular coarsening, bone enlargement, involvement of entire bone (rather than focal medullary changes), dramatic elevation of serum alkaline phosphatase, and characteristic imaging patterns (flame-shaped lytic lesions advancing through bone, cotton wool appearance in skull).

Chronic Recurrent Multifocal Osteomyelitis (CRMO)

This autoinflammatory condition primarily affects children and adolescents, causing recurrent episodes of bone pain and sterile bone lesions. Distinguished by symmetric multifocal involvement, palmoplantar pustulosis or psoriasis, elevated inflammatory markers during flares, absence of organisms on culture, and response to anti-inflammatory therapy.

Importance of Comprehensive Evaluation

Given the breadth of potential differential diagnoses and etiologies, comprehensive evaluation by experienced radiologists proves essential. A detailed radiology report should address not only the primary findings consistent with bone infarction but also evaluate for features suggesting alternative diagnoses or complications. When managing complex cases, obtaining a second opinion from specialists in chiropractic radiology or musculoskeletal radiology ensures optimal diagnostic accuracy and appropriate treatment planning.

 
 

Healthcare providers in chiropractic and physical therapy settings may encounter patients with bone infarction, particularly those with underlying risk factors. Understanding the condition’s implications for manual therapy and rehabilitation is essential for safe, effective patient care.

Diagnostic Recognition and Referral

Chiropractors and physical therapists often serve as first-contact providers for patients with musculoskeletal complaints. Recognizing clinical patterns suggestive of bone infarction enables appropriate referral for imaging and medical evaluation:

Red Flags Requiring Imaging:

  • Deep, poorly localized bone pain in patients with known risk factors (sickle cell disease, corticosteroid use, alcohol abuse)

  • Pain disproportionate to examination findings

  • Pain unresponsive to typical musculoskeletal interventions

  • Constitutional symptoms (fever, weight loss, night sweats)

  • History of malignancy

  • Progressive functional decline

When imaging reveals findings suspicious for bone infarction but interpretation is uncertain or complex features are present, consultation with DACBR-certified specialists or other Diagnostic Imaging Consultants ensures accurate diagnosis and identifies any complications requiring urgent management.

Treatment Considerations and Contraindications

Intervention

Acute Phase

Subacute/Chronic Phase

Special Considerations

High-Velocity Manipulation

❌ Contraindicated

⚠️ Use extreme caution

Risk of pathologic fracture through weakened bone

Gentle Mobilization

⚠️ May be tolerated

✓ Generally appropriate

Grade I-II techniques, avoid deep pressure

Active Exercise

🔶 Modified only

✓ Recommended

Start with low-impact, progress gradually

Strengthening

❌ Avoid initially

✓ Progressive resistance

Strengthen periarticular muscles for joint protection

Weight-Bearing

🔶 Reduce load

✓ As tolerated

May require assistive devices initially

Deep Tissue Work

❌ Contraindicated

⚠️ Avoid over infarct

Risk of trauma to compromised tissue

Modalities

✓ Ice, electrical stim

✓ Various modalities

For pain management and inflammation

Critical Safety Considerations:

Pathologic Fracture Risk: Bone infarctions weaken trabecular architecture within the medullary cavity. While the cortex typically remains intact, extensive infarctions or those involving weight-bearing bones pose fracture risk. High-velocity manipulation and aggressive manual therapy techniques should be avoided or used with extreme caution.

Pain Management Focus: Conservative management should prioritize pain control through low-risk interventions including therapeutic modalities (ice, electrical stimulation, ultrasound), gentle soft tissue techniques away from the infarct site, activity modification, and assistive devices (canes, crutches) to reduce load on affected limbs.

Functional Restoration: As acute pain subsides, rehabilitation should focus on maintaining or restoring range of motion through gentle mobilization, strengthening periarticular muscles to provide dynamic joint stability, improving neuromuscular control and proprioception, and gradually progressing weight-bearing and functional activities.

Exercise Prescription Guidelines:

  • Begin with non-weight-bearing or low-impact activities (swimming, stationary cycling)

  • Avoid high-impact activities (running, jumping) until healing is confirmed

  • Progress resistance training slowly with close monitoring for pain or signs of complications

  • Include flexibility exercises to prevent secondary joint stiffness

Patient Education

Providers should educate patients about the nature of bone infarction, expected recovery timeline (typically weeks to months), importance of medical management of underlying conditions (sickle cell disease, corticosteroid tapering), activity modifications to prevent complications, and warning signs requiring immediate medical attention (severe pain, inability to bear weight, systemic symptoms).

Collaborative Care

Successful management requires interdisciplinary collaboration. Chiropractors and physical therapists should maintain communication with the patient’s primary care physician or hematologist, particularly for underlying conditions like sickle cell disease. When questions arise about imaging findings or appropriate activity restrictions, consultation with Diagnostic Imaging Consultants provides clarity and ensures patient safety.

 
 

Management of bone infarction involves both addressing the acute symptoms and managing underlying etiologies to prevent future occurrences.

Treatment Strategy Comparison

Approach

Acute Phase

Chronic Phase

Prevention Focus

Conservative Management

Pain control, rest, activity modification

Gradual return to activity, PT

Address modifiable risk factors

Medical Management

Analgesics, management of underlying disease

Continue disease-modifying therapy

Optimize treatment of primary condition

Surgical Intervention

Rarely indicated

Core decompression (controversial), treatment of complications

Prevent pathologic fractures

Rehabilitation

Gentle ROM, non-weight-bearing exercise

Progressive strengthening, functional training

Maintain bone and joint health

Conservative Management

Acute Phase Management:

Pain Control: Non-steroidal anti-inflammatory drugs (NSAIDs) provide analgesia and reduce inflammation. In sickle cell patients, opioid analgesics may be necessary for severe pain, though providers should be mindful of addiction risk. Acetaminophen offers an alternative for patients with contraindications to NSAIDs.

Rest and Protected Weight-Bearing: Affected limbs should be rested initially, with gradual return to weight-bearing as tolerated. Assistive devices (canes, crutches, walkers) help reduce load on healing bone.

Activity Modification: Patients should avoid high-impact activities, heavy lifting, and movements that stress the affected bone. Maintain cardiovascular fitness through low-impact alternatives like swimming or upper body ergometry.

Subacute and Chronic Management:

As acute pain subsides, focus shifts to functional restoration through physical therapy as outlined previously, gradual progression of weight-bearing activities, maintenance of overall conditioning, and monitoring for complications.

Medical Management of Underlying Conditions

Sickle Cell Disease:

  • Hydroxyurea therapy to reduce sickling frequency

  • Chronic transfusion programs for high-risk patients

  • Aggressive hydration during pain crises

  • Treatment of concurrent complications

  • Bone health optimization with vitamin D and calcium supplementation

Corticosteroid-Related Infarction:

  • Taper to lowest effective dose when possible

  • Consider steroid-sparing agents

  • Prophylactic measures (lipid-lowering agents, anticoagulation in select cases)

  • Regular monitoring with periodic imaging

Alcohol-Related Infarction:

  • Alcohol cessation counseling and support

  • Nutritional supplementation

  • Treatment of related liver disease

  • Lipid management

Surgical Interventions

Surgical treatment is rarely necessary for uncomplicated bone infarction but may be indicated for specific scenarios:

Core Decompression: This procedure, more commonly used for osteonecrosis affecting the femoral head, has been attempted for extensive bone infarctions causing elevated intramedullary pressure. Evidence supporting its use for diaphyseal/metaphyseal infarction is limited.

Pathologic Fracture Treatment: Fractures through infarcted bone require internal fixation, with recognition that healing may be impaired. Some cases require bone grafting.

Treatment of Malignant Transformation: The rare occurrence of sarcoma developing within chronic bone infarct requires oncologic resection with wide margins, often followed by adjuvant chemotherapy and/or radiation.

Prognosis

Short-Term: Most patients experience gradual improvement in pain over weeks to months. Acute pain episodes typically resolve within 2 to 6 weeks with appropriate management.

Long-Term: Prognosis depends heavily on the underlying etiology and ability to modify risk factors. Patients with sickle cell disease typically experience recurrent episodes. Those with corticosteroid-induced infarction may see no further events if steroids are discontinued. Chronic infarctions persist indefinitely but usually become asymptomatic once the acute healing phase is complete.

Complications: Pathologic fracture risk persists lifelong, particularly with extensive infarctions. Malignant transformation occurs in fewer than 1% of cases, typically decades after the initial infarction. Adjacent joint degeneration may develop if infarctions extend close to articular surfaces.

Monitoring and Follow-Up

Patients require periodic clinical evaluation to assess pain levels, functional status, and development of complications. Follow-up imaging may be appropriate for extensive infarctions, symptoms suggesting complications, or baseline documentation for future comparison. Longitudinal management benefits from detailed radiology reports documenting changes over time.

 
 

Given the complexity of diagnosing bone infarction, differentiating it from numerous conditions with similar presentations, and identifying the underlying etiology, access to specialized imaging interpretation proves invaluable.

Healthcare providers should consider seeking consultation with Diagnostic Imaging Consultants who maintain DACBR credentials or equivalent subspecialty training in musculoskeletal radiology when:

  • Initial imaging findings are atypical or inconsistent with clinical presentation

  • Differentiation between bone infarction and osteomyelitis is uncertain (particularly in febrile patients)

  • Features suggest possible malignancy or malignant transformation

  • Multiple etiologies may be present simultaneously

  • Medicolegal documentation requires comprehensive, detailed reporting

  • Patients request a second opinion before proceeding with invasive procedures or biopsy

Advanced training in chiropractic radiology equips DACBR-certified specialists with expertise in recognizing subtle imaging patterns, identifying complications, and providing clinically relevant recommendations. Their comprehensive radiology reports facilitate communication among the multidisciplinary team and ensure optimal patient care.

 

Bone infarction represents a significant cause of skeletal pain and morbidity, with diverse etiologies ranging from hemoglobinopathies to corticosteroid use. The 34-year-old male patient with sickle cell disease presented in our clinical history exemplifies the typical presentation of this condition, with chronic bone pain localizing to the metaphyseal regions of long bones and characteristic imaging findings confirming medullary ischemic necrosis.

Accurate diagnosis requires careful consideration of the extensive differential diagnosis, including osteomyelitis, primary bone tumors, metastatic disease, and various metabolic bone disorders. The breadth of conditions that can produce similar clinical and radiographic findings underscores the importance of comprehensive imaging evaluation and expert interpretation. Understanding the multiple etiologies of bone infarction proves equally critical, as identification and management of the underlying cause represents the cornerstone of preventing future episodes and optimizing long-term outcomes.

For healthcare providers across disciplines, including chiropractors, physical therapists, primary care physicians, and specialists, recognizing the clinical patterns of bone infarction enables appropriate diagnostic workup and timely referral. Conservative management with pain control, activity modification, and physical rehabilitation serves most patients well, while medical management of underlying conditions like sickle cell disease, corticosteroid tapering, or alcohol cessation addresses the root causes.

The role of specialized diagnostic expertise cannot be overstated in complex musculoskeletal cases. Consultation with Diagnostic Imaging Consultants who possess DACBR credentials or equivalent advanced training in chiropractic radiology provides several critical advantages. These specialists offer expert differentiation between bone infarction and mimicking conditions, identification of complications requiring urgent intervention, detailed characterization of extent and chronicity, recognition of features suggesting underlying etiologies, and comprehensive documentation supporting optimal treatment decisions.

When facing diagnostic uncertainty, the value of obtaining a second opinion from experienced musculoskeletal radiologists becomes evident. A detailed radiology report that addresses not only the primary findings but also systematically evaluates potential differential diagnoses and complications serves as an invaluable tool for the entire healthcare team.

As musculoskeletal healthcare continues evolving toward evidence-based, collaborative care models, the integration of specialized imaging expertise represents a standard of excellence. Patients with bone infarction, whether secondary to sickle cell disease, corticosteroid therapy, or other etiologies, deserve comprehensive evaluation by providers who understand both the clinical nuances and sophisticated imaging characteristics of this complex condition.

Through continued education about the diverse causes and manifestations of bone infarction, maintenance of high standards for imaging interpretation, and commitment to interdisciplinary collaboration, healthcare providers can deliver exceptional diagnostic accuracy and therapeutic outcomes. The combination of clinical acumen, advanced imaging technology, and expert radiologic interpretation by specialists in chiropractic radiology creates a powerful approach to managing bone infarction and related skeletal disorders.

For patients like the 34-year-old male with sickle cell disease, accurate diagnosis of bone infarction enables appropriate pain management, prevents unnecessary procedures, facilitates optimization of sickle cell therapy, and provides realistic expectations for recovery. With proper diagnosis, comprehensive management of underlying disease, and thoughtful rehabilitation, patients can achieve significant symptom improvement and maintain quality of life despite this challenging condition.

 

Role of the Chiropractic Radiologist (DACBR)

A DACBR provides a crucial service beyond simply spotting the anomaly. The radiologist’s report will characterize the cervical rib’s morphology (e.g., complete vs. incomplete, presence of a pseudoarthrosis), which has clinical implications. By identifying this key anatomical variant, the DACBR provides the treating clinician with a definitive underlying cause for the patient’s complex symptoms. This diagnostic clarity allows the provider to move beyond non-specific neck and arm pain diagnoses and implement a highly targeted treatment plan addressing the specific biomechanics of the thoracic outlet.

 

At Kinetic Radiology, our DACBR team provides detailed, timely imaging interpretations designed to help chiropractors and healthcare providers deliver confident, evidence-based care.

Every day, chiropractors face the same frustration: imaging reports that miss what matters. General radiologists weren’t trained in your world; they don’t understand subluxations, joint dysfunction, or the biomechanical findings that drive your treatment decisions.

The result? Delayed care. Uncertain patients. Cases that stall when they should be progressing.

The Kinetic Radiology Difference: Chiropractors Reading for Chiropractors

Our board-certified DACBRs aren’t just radiologists. We’re chiropractors who chose to specialize in musculoskeletal imaging. We speak your language because we’ve stood where you stand.

What This Means for Your Practice:

Reports You Can Act On Immediately – No vague findings. No irrelevant details. Just the specific insights that guide your next adjustment, your treatment plan, and your patient conversations.

Same-Day Turnaround – Your patients don’t want to wait days wondering what’s wrong. Neither should you. Get clarity fast so care never stalls.

Documentation That Protects Your Practice – Whether it’s insurance requirements, legal protection, or patient records, our reports give you the clinical backing you need.

Confidence That Builds Your Reputation – When patients see you consulting with specialized radiologists, they recognize your commitment to excellence. That trust turns into loyalty, referrals, and five-star reviews.

Is Your Current Imaging Reading Costing You Patients?

Think about the last complex case you handled. Did the radiology report actually help you—or did you have to fill in the gaps yourself?

Now imagine having a DACBR partner who catches the subtle findings, flags the red flags, and gives you confidence in every diagnosis.

Start With One Case—See the Difference Yourself

No commitment. No risk. Just submit your next challenging case and experience what specialized chiropractic radiology can do for your clinical confidence and patient outcomes.

Schedule Your Case Consultation

Questions? Call us at 321 325 0096 or email at support@kineticradiology.com

Frequently asked questions

What is Thoracic Outlet Syndrome (TOS)?

Thoracic Outlet Syndrome (TOS) is a condition caused by the compression of nerves, arteries, or veins in the narrow passageway between the collarbone and the first rib, known as the thoracic outlet.

Thoracic Outlet Syndrome (TOS) is a broad term for a group of disorders that occur when the neurovascular bundle—specifically the brachial plexus (nerves), subclavian artery, and subclavian vein—is compressed. This compression happens in a space called the thoracic outlet. This can lead to a range of symptoms in the neck, shoulder, arm, and hand, depending on which structures are being squeezed.

Symptoms typically include pain, numbness, tingling, or weakness in the neck, shoulder, arm, or hand.

The symptoms depend on what is being compressed. The most common form is neurogenic TOS (nerve compression), which causes:

Pain, aching, or throbbing in the neck, shoulder, arm, or hand.

Numbness and tingling (paresthesia), often in the ring and pinky fingers.

Weakened grip strength.

Muscle wasting at the base of the thumb.
If blood vessels are compressed (vascular TOS), symptoms can include a cold, pale hand; arm swelling; or a weak pulse in the arm.

No, most people with cervical ribs have no symptoms at all.

It is estimated that over 90% of individuals with a cervical rib are asymptomatic. The anomaly alone is often not enough to cause a problem. Symptoms typically only develop when another factor—such as a traumatic injury, repetitive overhead motion, or poor posture, it is introduced, leading to compression within the already confined space.

Yes, conservative care like chiropractic and physical therapy is the primary and most effective treatment for the majority of TOS cases.

Absolutely. The goal of this care is to increase the space in the thoracic outlet by addressing the functional components causing compression. A chiropractor or physical therapist will use manual therapy techniques to release tight scalene and pectoral muscles, mobilize the first rib and clavicle, and provide specific exercises to correct posture and improve shoulder mechanics. This approach is often successful in eliminating symptoms without the need for more invasive procedures.

Neurogenic TOS is nerve compression (over 90% of cases) causing pain and tingling, while vascular TOS is artery or vein compression causing swelling, discoloration, or clots.

Neurogenic TOS: The most common type, caused by compression of the brachial plexus. Symptoms are neurological: pain, numbness, tingling, and muscle weakness.

Vascular TOS: A rarer form, subdivided into arterial and venous types. Arterial TOS involves compression of the subclavian artery, causing a cold, pale arm and weak pulse. Venous TOS involves compression of the subclavian vein, leading to arm swelling, blueness (cyanosis), and pain.

Partnering with a DACBR teleradiology service provides more than just a second opinion; it offers a significant return on investment:

  • Speed: Get expert reports in hours, not days.

  • Expertise: Access board-certified specialists without having to hire them.

  • Convenience: The entire process is handled online from your office.

  • Clarity: Receive clear, concise reports that are clinically relevant to chiropractic care, not generic medical reports.

Client REVIEWS